Antibody data
- Antibody Data
 - Antigen structure
 - References [0]
 - Comments [0]
 - Validations
 - Western blot [1]
 - Immunohistochemistry [7]
 - Flow cytometry [2]
 
Submit
Validation data
Reference
Comment
Report error
- Product number
 - TA502544 - Provider product page

 - Provider
 - OriGene
 - Proper citation
 - OriGene Cat#TA502544, RRID:AB_11126337
 - Product name
 - RTN4IP1 mouse monoclonal antibody, clone OTI3B2 (formerly 3B2)
 - Antibody type
 - Monoclonal
 - Description
 - RTN4IP1 mouse monoclonal antibody, clone OTI3B2 (formerly 3B2)
 - Host
 - Mouse
 - Conjugate
 - Unconjugated
 - Epitope
 - RTN4IP1
 - Isotype
 - IgG
 - Antibody clone number
 - OTI3B2
 - Vial size
 - 100 µl
 - Concentration
 - 0.38 mg/ml
 
				No comments: Submit comment	
	
			
							
					Supportive validation
					
									
				
				- Submitted by
 - OriGene (provider)
 - Main image
 
- Experimental details
 - HEK293T cells were transfected with the pCMV6-ENTRY control (Left lane) or pCMV6-ENTRY RTN4IP1 (RC202957, Right lane) cDNA for 48 hrs and lysed. Equivalent amounts of cell lysates (5 ug per lane) were separated by SDS-PAGE and immunoblotted with anti-RTN4IP1.
 - Validation comment
 - WB
 
							
					Supportive validation
					
									
				
				- Submitted by
 - OriGene (provider)
 - Main image
 
- Experimental details
 - Immunohistochemical staining of paraffin-embedded Human lymph node tissue within the normal limits using anti-RTN4IP1 mouse monoclonal antibody. (Heat-induced epitope retrieval by 10mM citric buffer, pH6.0, 100C for 10min, TA502544)
 - Validation comment
 - IHC
 
- Submitted by
 - OriGene (provider)
 - Main image
 
- Experimental details
 - Immunohistochemical staining of paraffin-embedded Adenocarcinoma of Human colon tissue using anti-RTN4IP1 mouse monoclonal antibody. (Heat-induced epitope retrieval by 10mM citric buffer, pH6.0, 100C for 10min, TA502544)
 - Validation comment
 - IHC
 
- Submitted by
 - OriGene (provider)
 - Main image
 
- Experimental details
 - Immunohistochemical staining of paraffin-embedded Carcinoma of Human prostate tissue using anti-RTN4IP1 mouse monoclonal antibody. (Heat-induced epitope retrieval by 10mM citric buffer, pH6.0, 100C for 10min, TA502544)
 - Validation comment
 - IHC
 
- Submitted by
 - OriGene (provider)
 - Main image
 
- Experimental details
 - Immunohistochemical staining of paraffin-embedded Human pancreas tissue within the normal limits using anti-RTN4IP1 mouse monoclonal antibody. (Heat-induced epitope retrieval by 10mM citric buffer, pH6.0, 100C for 10min, TA502544)
 - Validation comment
 - IHC
 
- Submitted by
 - OriGene (provider)
 - Main image
 
- Experimental details
 - Immunohistochemical staining of paraffin-embedded Human lymphoma tissue using anti-RTN4IP1 mouse monoclonal antibody. (Heat-induced epitope retrieval by 10mM citric buffer, pH6.0, 100C for 10min, TA502544)
 - Validation comment
 - IHC
 
- Submitted by
 - OriGene (provider)
 - Main image
 
- Experimental details
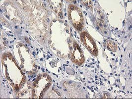
 - Immunohistochemical staining of paraffin-embedded Human Kidney tissue within the normal limits using anti-RTN4IP1 mouse monoclonal antibody. (Heat-induced epitope retrieval by 10mM citric buffer, pH6.0, 100C for 10min, TA502544)
 - Validation comment
 - IHC
 
- Submitted by
 - OriGene (provider)
 - Main image
 
- Experimental details
 - Immunohistochemical staining of paraffin-embedded Carcinoma of Human bladder tissue using anti-RTN4IP1 mouse monoclonal antibody. (Heat-induced epitope retrieval by 10mM citric buffer, pH6.0, 100C for 10min, TA502544)
 - Validation comment
 - IHC
 
							
					Supportive validation
					
									
				
		- Submitted by
 - OriGene (provider)
 - Main image
 
- Experimental details
 - Flow cytometric Analysis of Jurkat cells, using anti-RTN4IP1 antibody(TA502544),(Red), compared to a nonspecific negative control antibody(TA50011),(Blue).
 - Validation comment
 - FC
 
- Submitted by
 - OriGene (provider)
 - Main image
 
- Experimental details
 - HEK293T cells transfected with either RC202957 overexpress plasmid(Red) or empty vector control plasmid(Blue) were immunostained by anti-RTN4IP1 antibody(TA502544), and then analyzed by flow cytometry.
 - Validation comment
 - FC