Antibody data
- Antibody Data
- Antigen structure
- References [0]
- Comments [0]
- Validations
- Western blot [1]
- Immunohistochemistry [2]
Submit
Validation data
Reference
Comment
Report error
- Product number
- 17065-1-AP - Provider product page

- Provider
- Proteintech Group
- Proper citation
- Proteintech Cat#17065-1-AP, RRID:AB_2270483
- Product name
- SLFNL1 antibody
- Antibody type
- Polyclonal
- Description
- SLFNL1 antibody (Cat. #17065-1-AP) is a rabbit polyclonal antibody that shows reactivity with human and has been validated for the following applications: IHC, WB,ELISA.
- Reactivity
- Human
- Host
- Rabbit
- Conjugate
- Unconjugated
- Isotype
- IgG
- Vial size
- 20ul, 150ul
No comments: Submit comment
Supportive validation
- Submitted by
- Proteintech Group (provider)
- Main image

- Experimental details
- COLO 320 cells were subjected to SDS PAGE followed by western blot with 17065-1-AP(SLFNL1 antibody) at dilution of 1:800
- Sample type
- cell line
Supportive validation
- Submitted by
- Proteintech Group (provider)
- Main image

- Experimental details
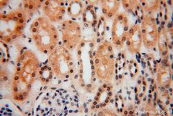
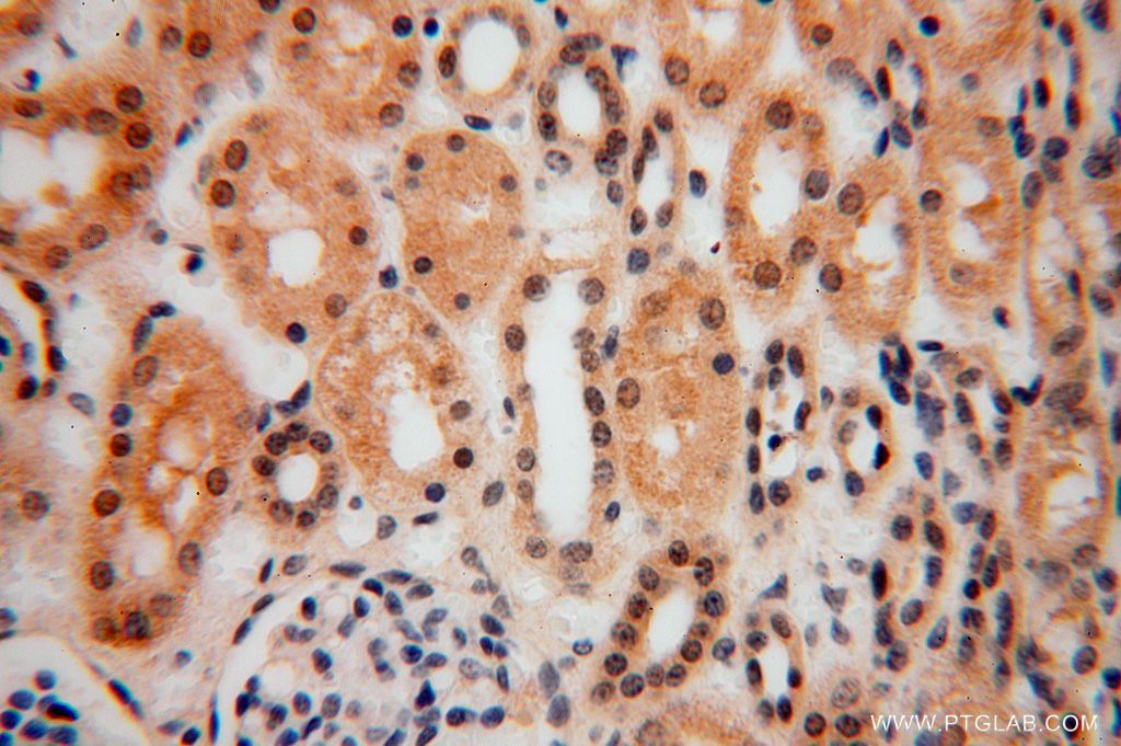
- Immunohistochemical of paraffin-embedded human kidney using 17065-1-AP(SLFNL1 antibody) at dilution of 1:100 (under 10x lens)
- Sample type
- tissue
- Submitted by
- Proteintech Group (provider)
- Main image

- Experimental details
- The SLFNL1 antibody from Proteintech is a rabbit polyclonal antibody to a recombinant protein of human SLFNL1. This antibody recognizes human antigen. The SLFNL1 antibody has been validated for the following applications: ELISA, WB, IHC analysis.