Antibody data
- Antibody Data
- Antigen structure
- References [0]
- Comments [0]
- Validations
- Immunocytochemistry [2]
- Immunohistochemistry [1]
Submit
Validation data
Reference
Comment
Report error
- Product number
- PA5-58431 - Provider product page

- Provider
- Invitrogen Antibodies
- Product name
- TTC12 Polyclonal Antibody
- Antibody type
- Polyclonal
- Antigen
- Recombinant protein fragment
- Description
- Immunogen sequence: NLLETLSKPD QIPLFYAGGI EILTEMINEC TEQTLFRMHN GFSIISDNEV IRRCFSTAGN DAVEEMVCVS VLKLWQAVCS RNEENQRVL Highest antigen sequence identity to the following orthologs: Mouse - 75%, Rat - 76%.
- Reactivity
- Human
- Host
- Rabbit
- Isotype
- IgG
- Vial size
- 100 μL
- Concentration
- 0.1 mg/mL
- Storage
- Store at 4°C short term. For long term storage, store at -20°C, avoiding freeze/thaw cycles.
No comments: Submit comment
Supportive validation
- Submitted by
- Invitrogen Antibodies (provider)
- Main image

- Experimental details
- Immunofluorescent staining of TTC12 in human cell line A-431 shows positivity in nucleus but excluded from the nucleoli. Samples were probed using a TTC12 Polyclonal Antibody (Product # PA5-58431).
- Submitted by
- Invitrogen Antibodies (provider)
- Main image

- Experimental details
- Immunofluorecent analysis of TTC12 in human cell line A-431 using TTC12 Polyclonal Antibody (Product # PA5-58431). Staining shows localization to nucleoplasm.
Supportive validation
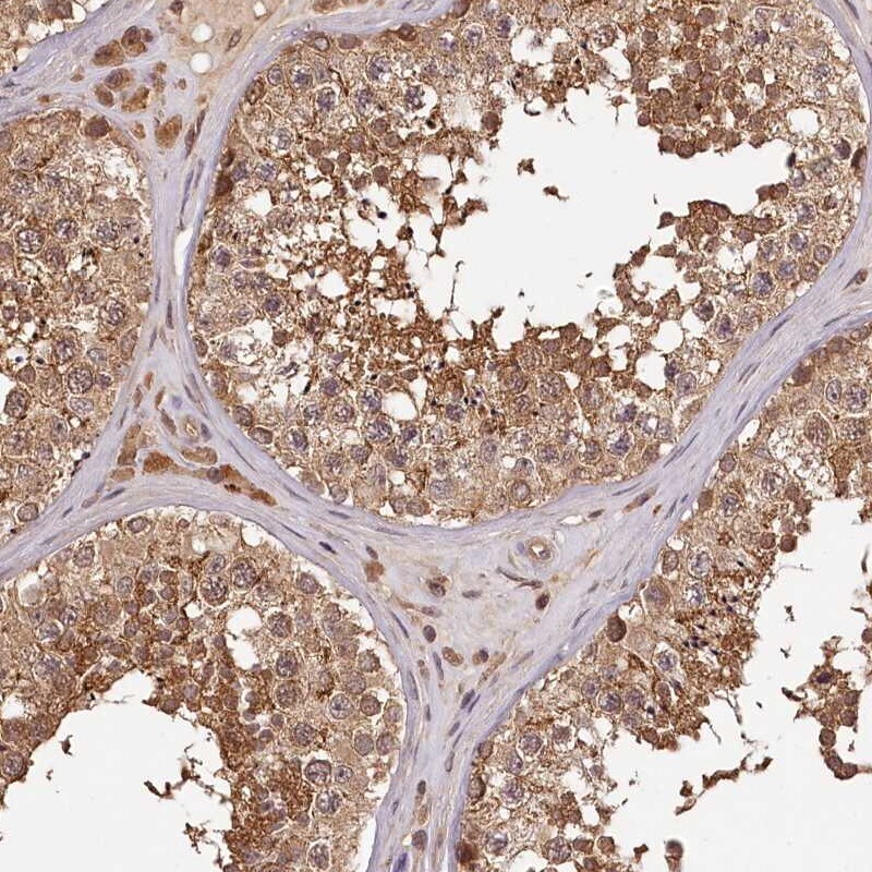
- Submitted by
- Invitrogen Antibodies (provider)
- Main image

- Experimental details
- Immunohistochemical staining of TTC12 in human testis using a TTC12 Polyclonal Antibody (Product # PA5-58431) shows strong cytoplasmic positivity in cells in seminiferous ducts and Leydig cells.