Antibody data
- Antibody Data
- Antigen structure
- References [0]
- Comments [0]
- Validations
- Western blot [1]
- Immunohistochemistry [1]
Submit
Validation data
Reference
Comment
Report error
- Product number
- bs-8571R - Provider product page

- Provider
- Bioss
- Product name
- Histone H2A.X (Ubiquityl Lys119) Antibody
- Antibody type
- Polyclonal
- Description
- KLH conjugated synthetic peptide derived from human Ubiquityl Histone H2A.X (Lys119)
- Reactivity
- Human, Rat
- Host
- Rabbit
- Conjugate
- Unconjugated
- Isotype
- IgG
- Vial size
- 100ul
- Concentration
- 1ug/ul
- Storage
- Aqueous buffered solution containing 1% BSA, 50% glycerol and 0.09% sodium azide. Store at -20°C for 12 months.
No comments: Submit comment
Supportive validation
- Submitted by
- Bioss (provider)
- Main image

- Experimental details
- Lane 1: mouse brain lysates Lane 2: mouse heart lysates probed with Anti Ubiquityl Histone H2A.X (Lys119) Polyclonal Antibody, Unconjugated (bs-8571R) at 1:200 in 4C. Followed by conjugation to secondary antibody (bs-0295G-HRP) at 1:3000 90min in 37C. Predicted band 16kD. Observed band size: 16kD.
- Sample type
- Mouse
- Other comments
- Brain
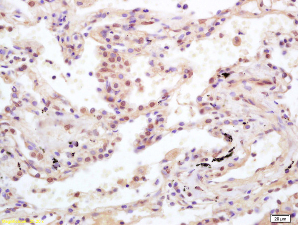
Supportive validation
- Submitted by
- Bioss (provider)
- Main image

- Experimental details
- Formalin-fixed and paraffin embedded human lung carcinoma labeled with Anti-Ubiquityl Histone H2A.X (Lys119) Polyclonal Antibody, Unconjugated (bs-8571R) at 1:200 followed by conjugation to the secondary antibody and DAB staining.
- Sample type
- Human
- Other comments
- Lung