Antibody data
- Antibody Data
- Antigen structure
- References [0]
- Comments [0]
- Validations
- Immunohistochemistry [8]
Submit
Validation data
Reference
Comment
Report error
- Product number
- 19291-1-AP - Provider product page

- Provider
- Invitrogen Antibodies
- Product name
- EGFL7 Polyclonal Antibody
- Antibody type
- Polyclonal
- Antigen
- Other
- Description
- Immunogen sequence: TEHAYRPGR RVCAVRAHGD PVSESFVQRV YQPFLTTCDG HRACSTYRTI YRTAYRRSPG LAPARPRYAC CPGWKRTSGL PGACGAAICQ PPCRNGGSCV QPGRCRCPAG WRGDTCQSDV DECSARRGGC PQRCINTAGS YWCQCWEGHS LSADGTLCVP KGGPPRVAPN PTGVDSAMKE EVQRLQSRVD LLEEKLQLVL APLHSLASQA LEHGLPDPGS LLVHSFQQLG RIDSLSEQIS FLEEQLGSCS CKKDS (20-273 aa encoded by B C012377)
- Reactivity
- Human
- Host
- Rabbit
- Isotype
- IgG
- Vial size
- 150 µL
- Concentration
- 0.17 mg/mL
- Storage
- -20°C
No comments: Submit comment
Supportive validation
- Submitted by
- Invitrogen Antibodies (provider)
- Main image

- Experimental details
- Immunohistochemistry of paraffin-embedded human breast cancer tissue slide using 19291-1-AP (EGFL7 Antibody) at dilution of 1:50 (under 10x lens).
- Submitted by
- Invitrogen Antibodies (provider)
- Main image

- Experimental details
- Immunohistochemistry of paraffin-embedded human breast cancer tissue slide using 19291-1-AP (EGFL7 Antibody) at dilution of 1:50 (under 40x lens).
- Submitted by
- Invitrogen Antibodies (provider)
- Main image

- Experimental details
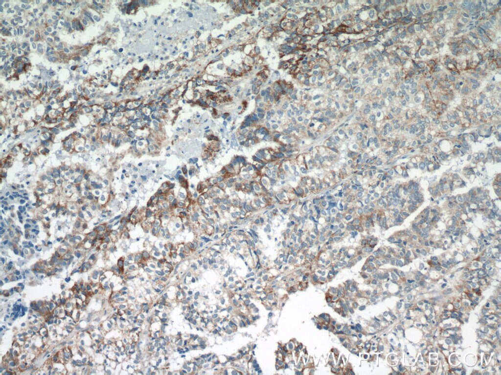
- Immunohistochemistry of paraffin-embedded human ovary tumor tissue slide using 19291-1-AP (EGFL7 Antibody) at dilution of 1:50 (under 10x lens).
- Submitted by
- Invitrogen Antibodies (provider)
- Main image

- Experimental details
- Immunohistochemistry of paraffin-embedded human ovary tumor tissue slide using 19291-1-AP (EGFL7 Antibody) at dilution of 1:50 (under 40x lens).
- Submitted by
- Invitrogen Antibodies (provider)
- Main image

- Experimental details
- Immunohistochemistry of paraffin-embedded human endometrial cancer tissue slide using 19291-1-AP (EGFL7 Antibody) at dilution of 1:50 (under 10x lens).
- Submitted by
- Invitrogen Antibodies (provider)
- Main image

- Experimental details
- Immunohistochemistry of paraffin-embedded human endometrial cancer tissue slide using 19291-1-AP (EGFL7 Antibody) at dilution of 1:50 (under 40x lens).
- Submitted by
- Invitrogen Antibodies (provider)
- Main image

- Experimental details
- Immunohistochemistry of paraffin-embedded human kidney tissue slide using 19291-1-AP ( EGFL7 Antibody) at dilution of 1:50 (under 10x lens).
- Submitted by
- Invitrogen Antibodies (provider)
- Main image

- Experimental details
- Immunohistochemistry of paraffin-embedded human kidney tissue slide using 19291-1-AP ( EGFL7 Antibody) at dilution of 1:50 (under 40x lens).