Antibody data
- Antibody Data
- Antigen structure
- References [0]
- Comments [0]
- Validations
- Western blot [3]
- ELISA [1]
- Immunohistochemistry [2]
- Flow cytometry [1]
Submit
Validation data
Reference
Comment
Report error
- Product number
- NBP2-61744 - Provider product page

- Provider
- Novus Biologicals
- Product name
- Mouse Monoclonal DDX1 Antibody
- Antibody type
- Monoclonal
- Description
- Protein G purified.
- Reactivity
- Human
- Host
- Mouse
- Isotype
- IgG
- Vial size
- 0.1 ml
- Storage
- Store at 4C short term. Aliquot and store at -20C long term. Avoid freeze-thaw cycles.
No comments: Submit comment
Supportive validation
- Submitted by
- Novus Biologicals (provider)
- Main image

- Experimental details
- Western Blot: DDX1 Antibody (3E5B2) [NBP2-61744] - Analysis using DDX1 mAb against human DDX1 (AA: 642-740) recombinant protein. (Expected MW is 37 kDa)
- Submitted by
- Novus Biologicals (provider)
- Main image

- Experimental details
- Western Blot: DDX1 Antibody (3E5B2) [NBP2-61744] - Analysis using DDX1 mouse mAb against Hela (1), MCF-7 (2), A431 (3), PC-3 (4), and Jurkat (5) cell lysate.
- Submitted by
- Novus Biologicals (provider)
- Main image

- Experimental details
- Western Blot: DDX1 Antibody (3E5B2) [NBP2-61744] - Analysis using DDX1 mAb against HEK293 (1) and DDX1 (AA: 642-740)-hIgGFc transfected HEK293 (2) cell lysate.
Supportive validation
- Submitted by
- Novus Biologicals (provider)
- Main image

- Experimental details
- ELISA: DDX1 Antibody (3E5B2) [NBP2-61744] - Black line: Control Antigen (100 ng);Purple line: Antigen (10ng); Blue line: Antigen (50 ng); Red line:Antigen (100 ng)
Supportive validation
- Submitted by
- Novus Biologicals (provider)
- Main image

- Experimental details
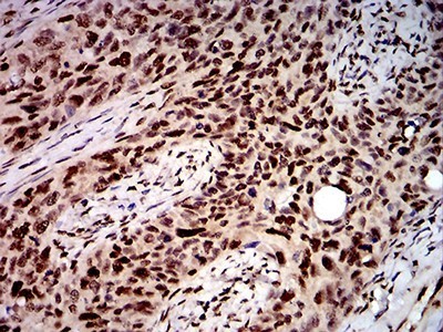
- Immunohistochemistry: DDX1 Antibody (3E5B2) [NBP2-61744] - Analysis of paraffin-embedded cervical cancer tissues using DDX1 mouse mAb with DAB staining.
- Submitted by
- Novus Biologicals (provider)
- Main image

- Experimental details
- Immunohistochemistry: DDX1 Antibody (3E5B2) [NBP2-61744] - Analysis of paraffin-embedded esophageal cancer tissues using DDX1 mouse mAb with DAB staining.
Supportive validation
- Submitted by
- Novus Biologicals (provider)
- Main image

- Experimental details
- Flow Cytometry: DDX1 Antibody (3E5B2) [NBP2-61744] - Analysis of Hela cells using DDX1 mouse mAb (green) and negative control (red).