AP50711PU-N
antibody from OriGene
Targeting: CADM1
BL2, IGSF4, IGSF4A, Necl-2, NECL2, RA175, ST17, SYNCAM, SYNCAM1, TSLC1
Antibody data
- Antibody Data
- Antigen structure
- References [0]
- Comments [0]
- Validations
- Western blot [2]
- Immunohistochemistry [1]
Submit
Validation data
Reference
Comment
Report error
- Product number
- AP50711PU-N - Provider product page

- Provider
- OriGene
- Product name
- SynCAM (CADM1) (N-term) rabbit polyclonal antibody, Aff - Purified
- Antibody type
- Polyclonal
- Description
- SynCAM (CADM1) (N-term) rabbit polyclonal antibody, Aff - Purified
- Host
- Rabbit
- Conjugate
- Unconjugated
- Epitope
- CADM1
- Antibody clone number
- NULL
- Vial size
- 400 µl
- Concentration
- lot specific
No comments: Submit comment
Supportive validation
- Submitted by
- OriGene (provider)
- Main image

- Experimental details
- CADM1 Antibody (N-term) western blot analysis in mouse cerebellum tissue lysates (35ug/lane).This demonstrates the CADM1 antibody detected the CADM1 protein (arrow).
- Validation comment
- WB
- Submitted by
- OriGene (provider)
- Main image

- Experimental details
- CADM1 Antibody (N-term) western blot analysis in MDA-MB435 cell line lysates (35ug/lane).This demonstrates the CADM1 antibody detected the CADM1 protein (arrow).
- Validation comment
- WB
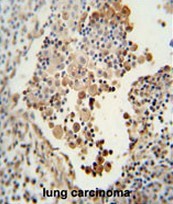
Supportive validation
- Submitted by
- OriGene (provider)
- Main image

- Experimental details
- CADM1 antibody (N-term) immunohistochemistry analysis in formalin fixed and paraffin embedded human lung carcinoma followed by peroxidase conjugation of the secondary antibody and DAB staining. This data demonstrates the use of the CADM1 antibody (N-term) for immunohistochemistry. Clinical relevance has not been evaluated.
- Validation comment
- IHC