Antibody data
- Antibody Data
- Antigen structure
- References [1]
- Comments [0]
- Validations
- Western blot [2]
- Immunohistochemistry [1]
Submit
Validation data
Reference
Comment
Report error
- Product number
- NBP1-83654 - Provider product page 
- Provider
- Novus Biologicals
- Proper citation
- Novus Cat#NBP1-83654, RRID:AB_11025383
- Product name
- Rabbit Polyclonal RG9MTD1 Antibody
- Antibody type
- Polyclonal
- Description
- Immunogen affinity purified. Specificity of human RG9MTD1 antibody verified on a Protein Array containing target protein plus 383 other non-specific proteins.
- Reactivity
- Human
- Host
- Rabbit
- Isotype
- IgG
- Vial size
- 0.1 ml
- Storage
- Store at 4C short term. Aliquot and store at -20C long term. Avoid freeze-thaw cycles.
Submitted references		Human RNase H1 is associated with protein P32 and is involved in mitochondrial pre-rRNA processing.
				
		
	
			Wu H, Sun H, Liang X, Lima WF, Crooke ST
PloS one 2013;8(8):e71006
		PloS one 2013;8(8):e71006
				No comments: Submit comment	
	
			
							
					Supportive validation
					
									
				
				- Submitted by
- Novus Biologicals (provider)
- Main image
 
- Experimental details
- Western Blot: RG9MTD1 Antibody [NBP1-83654] - Analysis in human cell line SCLC-21H.
- Submitted by
- Novus Biologicals (provider)
- Main image
 
- Experimental details
- Western Blot: RG9MTD1 Antibody [NBP1-83654] - Analysis in A-431 cells transfected with control siRNA, target specific siRNA probe #1,. Remaining relative intensity is presented. Loading control: Anti-PPIB.
							
					Supportive validation
					
									
				
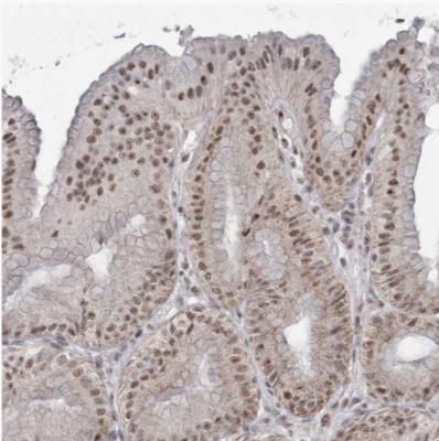
		- Submitted by
- Novus Biologicals (provider)
- Main image
 
- Experimental details
- Immunohistochemistry-Paraffin: RG9MTD1 Antibody [NBP1-83654] - Staining of human stomach shows moderate nuclear and cytoplasmic positivity in glandular cells.