Antibody data
- Antibody Data
- Antigen structure
- References [0]
- Comments [0]
- Validations
- Western blot [1]
- Immunocytochemistry [3]
- Immunohistochemistry [7]
- Flow cytometry [1]
Submit
Validation data
Reference
Comment
Report error
- Product number
- RQ7545 - Provider product page 
- Provider
- NSJ Bioreagents
- Product name
- MRPP1 Antibody / NY-REN-49 / TRMT10C
- Antibody type
- Polyclonal
- Description
- This highly specific MRPP1 antibody is suitable for use in Western blot/Immunohistochemistry/Immunofluorescence/Flow cytometry/Direct ELISA applications with human samples.
- Reactivity
- Human
- Host
- Rabbit
- Conjugate
- Unconjugated
- Vial size
- 100 ug
- Concentration
- 0.5mg/ml if reconstituted with 0.2ml sterile DI water
- Storage
- After reconstitution, the MRPP1 antibody can be stored for up to one month at 4oC. For long-term, aliquot and store at -20oC. Avoid repeated freezing and thawing.
				No comments: Submit comment	
	
			
							
					Supportive validation
					
									
				
				- Submitted by
- NSJ Bioreagents (provider)
- Main image
 
- Experimental details
- Western blot testing of human 1) HepG2, 2) Daudi and 3) HEL cell lysate with MRPP1 antibody. Predicted molecular weight ~47 kDa, commonly observed at 40-47 kDa.
							
					Supportive validation
					
									
				
				- Submitted by
- NSJ Bioreagents (provider)
- Main image
 
- Experimental details
- Immunofluorescent staining of FFPE human A549 cells with MRPP1 antibody (green) and DAPI nuclear stain (blue). HIER: steam section in pH6 citrate buffer for 20 min.
- Submitted by
- NSJ Bioreagents (provider)
- Main image
 
- Experimental details
- Immunofluorescent staining of FFPE human ovarian cancer with MRPP1 antibody (red) and DAPI nuclear stain (blue). HIER: steam section in pH8 EDTA buffer for 20 min.
- Submitted by
- NSJ Bioreagents (provider)
- Main image
 
- Experimental details
- Immunofluorescent staining of FFPE human rectal cancer with MRPP1 antibody (red) and DAPI nuclear stain (blue). HIER: steam section in pH8 EDTA buffer for 20 min.
							
					Supportive validation
					
									
				
				- Submitted by
- NSJ Bioreagents (provider)
- Main image
 
- Experimental details
- IHC staining of FFPE human ovarian cancer tissue with MRPP1 antibody. HIER: boil tissue sections in pH8 EDTA for 20 min and allow to cool before testing.
- Submitted by
- NSJ Bioreagents (provider)
- Main image
 
- Experimental details
- IHC staining of FFPE human breast duct carcinoma tissue with MRPP1 antibody. HIER: boil tissue sections in pH8 EDTA for 20 min and allow to cool before testing.
- Submitted by
- NSJ Bioreagents (provider)
- Main image
 
- Experimental details
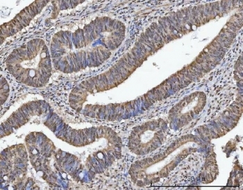
- IHC staining of FFPE human colon cancer tissue with MRPP1 antibody. HIER: boil tissue sections in pH8 EDTA for 20 min and allow to cool before testing.
- Submitted by
- NSJ Bioreagents (provider)
- Main image
 
- Experimental details
- IHC staining of FFPE human liver cancer tissue with MRPP1 antibody. HIER: boil tissue sections in pH8 EDTA for 20 min and allow to cool before testing.
- Submitted by
- NSJ Bioreagents (provider)
- Main image
 
- Experimental details
- IHC staining of FFPE human lung cancer tissue with MRPP1 antibody. HIER: boil tissue sections in pH8 EDTA for 20 min and allow to cool before testing.
- Submitted by
- NSJ Bioreagents (provider)
- Main image
 
- Experimental details
- IHC staining of FFPE human lung squamous cell carcinoma tissue with MRPP1 antibody. HIER: boil tissue sections in pH8 EDTA for 20 min and allow to cool before testing.
- Submitted by
- NSJ Bioreagents (provider)
- Main image
 
- Experimental details
- IHC staining of FFPE human spleen tissue with MRPP1 antibody. HIER: boil tissue sections in pH8 EDTA for 20 min and allow to cool before testing.
							
					Supportive validation
					
									
				
		- Submitted by
- NSJ Bioreagents (provider)
- Main image
 
- Experimental details
- Flow cytometry testing of human 293T cells with MRPP1 antibody at 1ug/million cells (blocked with goat sera); Red=cells alone, Green=isotype control, Blue= MRPP1 antibody.