Antibody data
- Antibody Data
- Antigen structure
- References [0]
- Comments [0]
- Validations
- Western blot [3]
- ELISA [1]
- Immunohistochemistry [2]
Submit
Validation data
Reference
Comment
Report error
- Product number
- NBP2-37267 - Provider product page

- Provider
- Novus Biologicals
- Product name
- Mouse Monoclonal Tie-1 Antibody
- Antibody type
- Monoclonal
- Description
- Protein A or G purified.
- Reactivity
- Human
- Host
- Mouse
- Isotype
- IgG
- Vial size
- 0.1 ml
- Concentration
- 1 mg/ml
- Storage
- Store at 4C short term. Aliquot and store at -20C long term. Avoid freeze-thaw cycles.
No comments: Submit comment
Supportive validation
- Submitted by
- Novus Biologicals (provider)
- Main image

- Experimental details
- Western Blot: Tie-1 Antibody (8D12D2) [NBP2-37267] - Western blot analysis using TIE1 mouse mAb against HepG2 cell lysate.
- Submitted by
- Novus Biologicals (provider)
- Main image

- Experimental details
- Western Blot: Tie-1 Antibody (8D12D2) [NBP2-37267] - Western blot analysis using TIE1 mAb against human TIE1 (AA: 385-607) recombinant protein. (Expected MW is 50.6 kDa)
- Submitted by
- Novus Biologicals (provider)
- Main image

- Experimental details
- Western Blot: Tie-1 Antibody (8D12D2) [NBP2-37267] - Analysis using TIE-1 mAb against (1) HEK293 and (2) TIE-1 (AA: 385-607)-hIgGFc transfected HEK293 cell lysate.
Supportive validation
- Submitted by
- Novus Biologicals (provider)
- Main image

- Experimental details
- ELISA: Tie-1 Antibody (8D12D2) [NBP2-37267] - Red: Control Antigen (100ng); Purple: Antigen (10ng); Green: Antigen (50ng); Blue: Antigen (100ng);
Supportive validation
- Submitted by
- Novus Biologicals (provider)
- Main image

- Experimental details
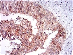
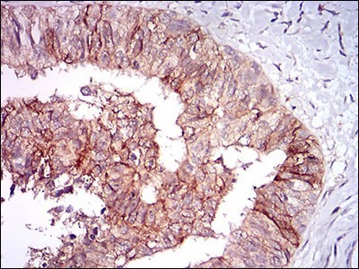
- Immunohistochemistry: Tie-1 Antibody (8D12D2) [NBP2-37267] - Immunohistochemical analysis of paraffin-embedded ovarian cancer tissues using TIE1 mouse mAb with DAB staining.
- Submitted by
- Novus Biologicals (provider)
- Main image

- Experimental details
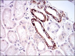
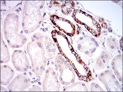
- Immunohistochemistry: Tie-1 Antibody (8D12D2) [NBP2-37267] - Immunohistochemical analysis of paraffin-embedded kidney tissues using TIE1 mouse mAb with DAB staining.