Antibody data
- Antibody Data
- Antigen structure
- References [0]
- Comments [0]
- Validations
- Other assay [1]
Submit
Validation data
Reference
Comment
Report error
- Product number
- STJ70306 - Provider product page

- Provider
- St John's Laboratory
- Product name
- Anti-TIF1A/TRIM24 antibody (C-Term) (STJ70306)
- Antibody type
- Polyclonal
- Description
- Goat polyclonal antibody anti-TIF1A/TRIM24 (C-Term) is suitable for use in ELISA and Immunohistochemistry research applications.
- Reactivity
- Human, Bovine
- Host
- Goat
- Conjugate
- Unconjugated
- Antigen sequence
KRLKSIEERQLLK- Epitope
- NA
- Isotype
- IgG
- Antibody clone number
- NA
- Vial size
- NA
- Concentration
- NA
- Storage
- Store at-20 on receipt and minimise freeze-thaw cycles.
- Handling
- NA
No comments: Submit comment
Supportive validation
- Submitted by
- St John's Laboratory (provider)
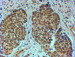
- Main image

- Experimental details
- STJ70306 (4µg/ml) staining of paraffin embedded Human Breast cancer. Steamed antigen retrieval with citrate buffer pH 6, HRP-staining.
- Sample type
- NA
- Validation comment
- NA
- Primary Ab dilution
- NA
- Other comments
- NA
- Secondary Ab
- NA
- Secondary Ab dilution
- NA
- Protocol
- NA