Antibody data
- Antibody Data
- Antigen structure
- References [3]
- Comments [0]
- Validations
- Western blot [2]
- Immunohistochemistry [5]
- Chromatin Immunoprecipitation [1]
Submit
Validation data
Reference
Comment
Report error
- Product number
- NB100-2596 - Provider product page

- Provider
- Novus Biologicals
- Proper citation
- Novus Cat#NB100-2596, RRID:AB_2209602
- Product name
- Rabbit Polyclonal TIF1 alpha Antibody
- Antibody type
- Polyclonal
- Description
- Immunogen affinity purified.
- Reactivity
- Human, Mouse
- Host
- Rabbit
- Isotype
- IgG
- Vial size
- 0.1 ml
- Concentration
- 0.2 mg/ml
- Storage
- Store at 4C. Do not freeze.
Submitted references Dynamic regulation of Tgf-B signaling by Tif1γ: a computational approach.
TIF1beta regulates the pluripotency of embryonic stem cells in a phosphorylation-dependent manner.
Trim24 targets endogenous p53 for degradation.
Andrieux G, Fattet L, Le Borgne M, Rimokh R, Théret N
PloS one 2012;7(3):e33761
PloS one 2012;7(3):e33761
TIF1beta regulates the pluripotency of embryonic stem cells in a phosphorylation-dependent manner.
Seki Y, Kurisaki A, Watanabe-Susaki K, Nakajima Y, Nakanishi M, Arai Y, Shiota K, Sugino H, Asashima M
Proceedings of the National Academy of Sciences of the United States of America 2010 Jun 15;107(24):10926-31
Proceedings of the National Academy of Sciences of the United States of America 2010 Jun 15;107(24):10926-31
Trim24 targets endogenous p53 for degradation.
Allton K, Jain AK, Herz HM, Tsai WW, Jung SY, Qin J, Bergmann A, Johnson RL, Barton MC
Proceedings of the National Academy of Sciences of the United States of America 2009 Jul 14;106(28):11612-6
Proceedings of the National Academy of Sciences of the United States of America 2009 Jul 14;106(28):11612-6
No comments: Submit comment
Supportive validation
- Submitted by
- Novus Biologicals (provider)
- Main image

- Experimental details
- Western Blot: TIF1 alpha Antibody [NB100-2596] - Detection of Human and Mouse TIF1 Alpha/TRIM24 by Western Blot. Samples: Whole cell lysate (50 ug) from HeLa, 293T, Jurkat, mouse TCMK-1, and mouse NIH3T3 cells prepared using NETN lysis buffer. Antibody: Affinity purified rabbit anti-TIF1 Alpha/TRIM24 antibody NB100-2596 used for WB at 0.1 ug/ml. Detection: Chemiluminescence with an exposure time of 30 seconds.
- Submitted by
- Novus Biologicals (provider)
- Main image

- Experimental details
- Western Blot: TIF1 alpha Antibody [NB100-2596] - Detection of Human and Mouse TIF1 alpha/TRIM24 on HeLa whole cell lysate using NB100-2596. TIF1 alpha/TRIM24 was also immunoprecipitated by rabbit anti-TIF1 alpha/TRIM24 antibody NB100-2597.
Supportive validation
- Submitted by
- Novus Biologicals (provider)
- Main image

- Experimental details
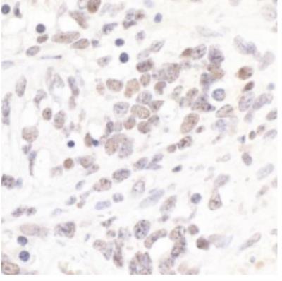
- Immunohistochemistry: TIF1 alpha Antibody [NB100-2596] - Sample: FFPE section of human breast carcinoma. Antibody: Affinity purified rabbit anti- TIF1 alpha/TRIM24 used at a dilution of 1:1,000 (0.2ug/ml). Detection: DAB
- Submitted by
- Novus Biologicals (provider)
- Main image

- Experimental details
- Immunohistochemistry-Paraffin: TIF1 alpha Antibody [NB100-2596] - FFPE section of mouse squamous cell carcinoma. Antibody used at a dilution of 1:250.
- Submitted by
- Novus Biologicals (provider)
- Main image

- Experimental details
- Immunohistochemistry-Paraffin: TIF1 alpha Antibody [NB100-2596] - FFPE section of human breast tumor. Antibody used at a dilution of 1:250.
- Submitted by
- Novus Biologicals (provider)
- Main image

- Experimental details
- Immunohistochemistry-Paraffin: TIF1 alpha Antibody [NB100-2596] - Section of human breast carcinoma. Antibody: Affinity purified rabbit anti-TIF1 alpha/TRIM24 used at a dilution of 1:200 (1ug/ml). Detection: DAB
- Submitted by
- Novus Biologicals (provider)
- Main image

- Experimental details
- Immunohistochemistry-Paraffin: TIF1 alpha Antibody [NB100-2596] - Section of mouse teratoma. Antibody: Affinity purified rabbit anti-TIF1 alpha/TRIM24 used at a dilution of 1:200 (1ug/ml). Detection: DAB
Supportive validation
- Submitted by
- Novus Biologicals (provider)
- Main image

- Experimental details
- Chromatin Immunoprecipitation Sequencing: TIF1 alpha Antibody [NB100-2596] - Localization of TIF1 Alpha/TRIM24 Binding Sites by ChIP-sequencing.Chromatin from Breast cancer cell line T47D was immunoprecipitated with anti-TIF1 Alpha/TRIM24 antibody A300-815A and analyzed by DNA sequencing. The figure illustrates the peak distribution of TIF1 Alpha/TRIM24 binding within a 250 Kb region of chromosome 19 as detected using anti-TIF1 Alpha/TRIM24 antibody A300-815A. ChIP-seq validation performed by Active Motif, Carlsbad, CA.