Antibody data
- Antibody Data
- Antigen structure
- References [0]
- Comments [0]
- Validations
- Western blot [1]
- Immunohistochemistry [1]
Submit
Validation data
Reference
Comment
Report error
- Product number
- LS-B4601 - Provider product page

- Provider
- LSBio
- Product name
- Anti-CEP164 Antibody (N-Terminus) IHC-plus™ LS-B4601
- Antibody type
- Polyclonal
- Description
- Immunoaffinity purified
- Reactivity
- Human, Mouse, Rat
- Host
- Rabbit
- Vial size
- 50µg
- Storage
- Short term 4°C, long term aliquot and store at -20°C, avoid freeze thaw cycles. Store undiluted.
No comments: Submit comment
Supportive validation
- Submitted by
- LSBio (provider)
- Main image

- Experimental details
- Western blot of CEP164 in rat heart tissue lysate with CEP164 antibody at (A) 1 and (B) 2 ug/ml.
Supportive validation
- Submitted by
- LSBio (provider)
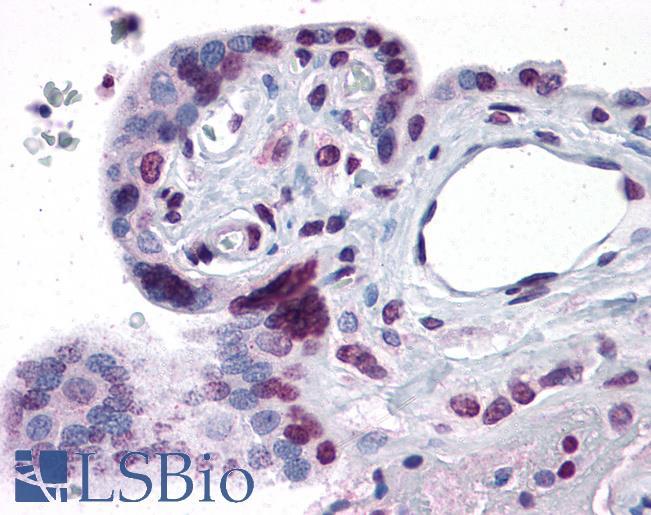
- Main image

- Experimental details
- Anti-CEP164 antibody IHC of human placenta. Immunohistochemistry of formalin-fixed, paraffin-embedded tissue after heat-induced antigen retrieval. Antibody LS-B4601 concentration 5 ug/ml.