Antibody data
- Antibody Data
- Antigen structure
- References [9]
- Comments [0]
- Validations
- Immunohistochemistry [5]
Submit
Validation data
Reference
Comment
Report error
- Product number
- NBP1-81445 - Provider product page

- Provider
- Novus Biologicals
- Proper citation
- Novus Cat#NBP1-81445, RRID:AB_11034504
- Product name
- Rabbit Polyclonal CEP164 Antibody
- Antibody type
- Polyclonal
- Description
- Immunogen affinity purified. Specificity of human CEP164 antibody verified on a Protein Array containing target protein plus 383 other non-specific proteins.
- Reactivity
- Human, Zebrafish
- Host
- Rabbit
- Isotype
- IgG
- Vial size
- 0.1 ml
- Storage
- Store at 4C short term. Aliquot and store at -20C long term. Avoid freeze-thaw cycles.
Submitted references Fetuin-A Inhibits Placental Cell Growth and Ciliogenesis in Gestational Diabetes Mellitus.
Chromosome misalignment is associated with PLK1 activity at cenexin-positive mitotic centrosomes.
CEP120 interacts with C2CD3 and Talpid3 and is required for centriole appendage assembly and ciliogenesis.
Precocious centriole disengagement and centrosome fragmentation induced by mitotic delay.
Human microcephaly protein RTTN interacts with STIL and is required to build full-length centrioles.
CEP295 interacts with microtubules and is required for centriole elongation.
Centrosomal nucleolin is required for microtubule network organization.
DCDC2 mutations cause a renal-hepatic ciliopathy by disrupting Wnt signaling.
Mutations of CEP83 cause infantile nephronophthisis and intellectual disability.
Wang CY, Su MT, Cheng HL, Kuo PL, Tsai PY
International journal of molecular sciences 2019 Oct 21;20(20)
International journal of molecular sciences 2019 Oct 21;20(20)
Chromosome misalignment is associated with PLK1 activity at cenexin-positive mitotic centrosomes.
Colicino EG, Stevens K, Curtis E, Rathbun L, Bates M, Manikas J, Amack J, Freshour J, Hehnly H
Molecular biology of the cell 2019 Jun 15;30(13):1598-1609
Molecular biology of the cell 2019 Jun 15;30(13):1598-1609
CEP120 interacts with C2CD3 and Talpid3 and is required for centriole appendage assembly and ciliogenesis.
Tsai JJ, Hsu WB, Liu JH, Chang CW, Tang TK
Scientific reports 2019 Apr 15;9(1):6037
Scientific reports 2019 Apr 15;9(1):6037
Precocious centriole disengagement and centrosome fragmentation induced by mitotic delay.
Karki M, Keyhaninejad N, Shuster CB
Nature communications 2017 Jun 13;8:15803
Nature communications 2017 Jun 13;8:15803
Human microcephaly protein RTTN interacts with STIL and is required to build full-length centrioles.
Chen HY, Wu CT, Tang CC, Lin YN, Wang WJ, Tang TK
Nature communications 2017 Aug 15;8(1):247
Nature communications 2017 Aug 15;8(1):247
CEP295 interacts with microtubules and is required for centriole elongation.
Chang CW, Hsu WB, Tsai JJ, Tang CJ, Tang TK
Journal of cell science 2016 Jul 1;129(13):2501-13
Journal of cell science 2016 Jul 1;129(13):2501-13
Centrosomal nucleolin is required for microtubule network organization.
Gaume X, Tassin AM, Ugrinova I, Mongelard F, Monier K, Bouvet P
Cell cycle (Georgetown, Tex.) 2015;14(6):902-19
Cell cycle (Georgetown, Tex.) 2015;14(6):902-19
DCDC2 mutations cause a renal-hepatic ciliopathy by disrupting Wnt signaling.
Schueler M, Braun DA, Chandrasekar G, Gee HY, Klasson TD, Halbritter J, Bieder A, Porath JD, Airik R, Zhou W, LoTurco JJ, Che A, Otto EA, Böckenhauer D, Sebire NJ, Honzik T, Harris PC, Koon SJ, Gunay-Aygun M, Saunier S, Zerres K, Bruechle NO, Drenth JP, Pelletier L, Tapia-Páez I, Lifton RP, Giles RH, Kere J, Hildebrandt F
American journal of human genetics 2015 Jan 8;96(1):81-92
American journal of human genetics 2015 Jan 8;96(1):81-92
Mutations of CEP83 cause infantile nephronophthisis and intellectual disability.
Failler M, Gee HY, Krug P, Joo K, Halbritter J, Belkacem L, Filhol E, Porath JD, Braun DA, Schueler M, Frigo A, Alibeu O, Masson C, Brochard K, Hurault de Ligny B, Novo R, Pietrement C, Kayserili H, Salomon R, Gubler MC, Otto EA, Antignac C, Kim J, Benmerah A, Hildebrandt F, Saunier S
American journal of human genetics 2014 Jun 5;94(6):905-14
American journal of human genetics 2014 Jun 5;94(6):905-14
No comments: Submit comment
Supportive validation
- Submitted by
- Novus Biologicals (provider)
- Main image

- Experimental details
- Immunohistochemistry-Paraffin: CEP164 Antibody [NBP1-81445] - Staining of human skeletal muscle shows no positivity in myocytes as expected.
- Submitted by
- Novus Biologicals (provider)
- Main image

- Experimental details
- Immunohistochemistry-Paraffin: CEP164 Antibody [NBP1-81445] - Staining of human bronchus shows moderate to strong positivity in cilia in respiratory epithelial cells.
- Submitted by
- Novus Biologicals (provider)
- Main image

- Experimental details
- Immunohistochemistry-Paraffin: CEP164 Antibody [NBP1-81445] - Staining of human nasopharynx shows strong positivity in cilia in respiratory epithelial cells.
- Submitted by
- Novus Biologicals (provider)
- Main image

- Experimental details
- Immunohistochemistry-Paraffin: CEP164 Antibody [NBP1-81445] - Staining of human endometrium shows strong positivity in cilia in glandular cells.
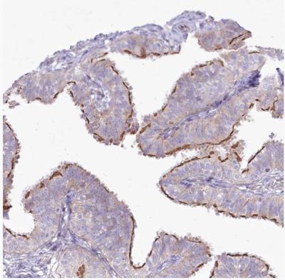
- Submitted by
- Novus Biologicals (provider)
- Main image

- Experimental details
- Immunohistochemistry-Paraffin: CEP164 Antibody [NBP1-81445] - Staining of human fallopian tube shows strong positivity in cilia in glandular cells.