Antibody data
- Antibody Data
- Antigen structure
- References [0]
- Comments [0]
- Validations
- Western blot [1]
- Immunocytochemistry [2]
- Immunohistochemistry [4]
Submit
Validation data
Reference
Comment
Report error
- Product number
- PA5-54941 - Provider product page

- Provider
- Invitrogen Antibodies
- Product name
- XPO5 Polyclonal Antibody
- Antibody type
- Polyclonal
- Antigen
- Recombinant protein fragment
- Description
- Immunogen sequence: ASLVHLAFQI YEALRPRYLE IRAVMEQIPE IQKDSLDQFD CKLLNPSLQK VADKRRKDQF KRLIAGCIGK PLGEQFRKEV H Highest antigen sequence identity to the following orthologs: Mouse - 95%, Rat - 95%.
- Reactivity
- Human, Mouse, Rat
- Host
- Rabbit
- Isotype
- IgG
- Vial size
- 100 μL
- Concentration
- 0.1 mg/mL
- Storage
- Store at 4°C short term. For long term storage, store at -20°C, avoiding freeze/thaw cycles.
No comments: Submit comment
Supportive validation
- Submitted by
- Invitrogen Antibodies (provider)
- Main image

- Experimental details
- Western blot analysis of XPO5 using XPO5 Polyclonal Antibody (Product # PA5-54941) (A) shows similar pattern to an independent XPO5 Polyclonal Antibody (B).
Supportive validation
- Submitted by
- Invitrogen Antibodies (provider)
- Main image

- Experimental details
- Immunofluorescent staining of XPO5 in human cell line A-431 shows positivity in nucleus but excluded from the nucleoli. Samples were probed using a XPO5 Polyclonal Antibody (Product # PA5-54941).
- Submitted by
- Invitrogen Antibodies (provider)
- Main image

- Experimental details
- Immunofluorecent analysis of XPO5 in human cell line A-431 using XPO5 Polyclonal Antibody (Product # PA5-54941). Staining shows localization to nucleoplasm.
Supportive validation
- Submitted by
- Invitrogen Antibodies (provider)
- Main image

- Experimental details
- Immunohistochemical staining of XPO5 in human testis and liver tissues using XPO5 Polyclonal Antibody (Product # PA5-54941). Corresponding XPO5 RNA-seq data are presented for the same tissues.
- Submitted by
- Invitrogen Antibodies (provider)
- Main image

- Experimental details
- Immunohistochemical staining of XPO5 in human liver using XPO5 Polyclonal Antibody (Product # PA5-54941) shows low expression as expected.
- Submitted by
- Invitrogen Antibodies (provider)
- Main image

- Experimental details
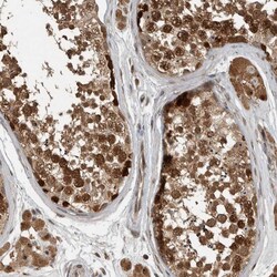
- Immunohistochemical staining of XPO5 in human testis using XPO5 Polyclonal Antibody (Product # PA5-54941) shows high expression.
- Submitted by
- Invitrogen Antibodies (provider)
- Main image

- Experimental details
- Immunohistochemical staining of XPO5 in human testis and liver tissues using XPO5 Polyclonal Antibody (Product # PA5-54941). Corresponding XPO5 RNA-seq data are presented for the same tissues.