Antibody data
- Antibody Data
- Antigen structure
- References [1]
- Comments [0]
- Validations
- Immunocytochemistry [3]
- Immunoprecipitation [1]
- Immunohistochemistry [1]
- Other assay [2]
Submit
Validation data
Reference
Comment
Report error
- Product number
- PA5-21884 - Provider product page

- Provider
- Invitrogen Antibodies
- Product name
- Importin 13 Polyclonal Antibody
- Antibody type
- Polyclonal
- Antigen
- Synthetic peptide
- Description
- Recommended positive controls: HeLa, Importin 13 tansfected 293T cell. Predicted reactivity: Mouse (100%), Rat (100%), Bovine (100%). Store product as a concentrated solution. Centrifuge briefly prior to opening the vial.
- Reactivity
- Human, Rat
- Host
- Rabbit
- Isotype
- IgG
- Vial size
- 100 μL
- Concentration
- 1.02 mg/mL
- Storage
- Store at 4°C short term. For long term storage, store at -20°C, avoiding freeze/thaw cycles.
Submitted references Active nuclear import of the deacetylase Sirtuin-2 is controlled by its C-terminus and importins.
Eldridge MJG, Pereira JM, Impens F, Hamon MA
Scientific reports 2020 Feb 10;10(1):2034
Scientific reports 2020 Feb 10;10(1):2034
No comments: Submit comment
Supportive validation
- Submitted by
- Invitrogen Antibodies (provider)
- Main image

- Experimental details
- Immunofluorescent analysis of Importin 13 in paraformaldehyde-fixed HeLa cells using an Importin 13 polyclonal antibody (Product # PA5-21884) at a 1:200 dilution.
- Submitted by
- Invitrogen Antibodies (provider)
- Main image

- Experimental details
- Immunofluorescence analysis of paraformaldehyde-fixed HeLa, using Importin 13 (Product # PA5-21884) antibody at 1:200 dilution.
- Submitted by
- Invitrogen Antibodies (provider)
- Main image

- Experimental details
- Immunofluorescence analysis of paraformaldehyde-fixed HeLa, using Importin 13 (Product # PA5-21884) antibody at 1:200 dilution.
Supportive validation
- Submitted by
- Invitrogen Antibodies (provider)
- Main image

- Experimental details
- IPO13 was immunoprecipitated from 1 mg of Hela whole cell lysate using 10 µg of anti-IPO13 antibody (Product # PA5-21884). The precipitated IPO13 was detected by (Product # PA5-21884) diluted at 1:1,000.
Supportive validation
- Submitted by
- Invitrogen Antibodies (provider)
- Main image

- Experimental details
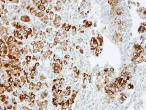
- Immunohistochemical analysis of paraffin-embedded CL1-5 xenograft, using Importin 13 (Product # PA5-21884) antibody at 1:100 dilution. Antigen Retrieval: EDTA based buffer, pH 8.0, 15 min.
Supportive validation
- Submitted by
- Invitrogen Antibodies (provider)
- Main image

- Experimental details
- IPO13 was immunoprecipitated from 1 mg of Hela whole cell lysate using 10 µg of anti-IPO13 antibody (Product # PA5-21884). The precipitated IPO13 was detected by (Product # PA5-21884) diluted at 1:1,000.
- Submitted by
- Invitrogen Antibodies (provider)
- Main image

- Experimental details
- Figure 2 SIRT2 interacts with multiple importins. SIRT2-GFP or GFP alone where immunoprecipitated using GFP-Trap(r) agarose beads for 1 hr. Cell lysates (INPUT) and IP fractions were immunoblotted using antibodies against GFP and (A) KPNA2, IPO7, TNPO1 or, (B) IPO13 and CBP which served as controls. Images are representative of 3 independent experiments. Uncropped blots are presented in Supplementary S3.