ABIN558229
antibody from antibodies-online
Targeting: ST6GALNAC2
SIAT7, SIAT7B, SIATL1, ST6GalNAII, STHM
Antibody data
- Antibody Data
- Antigen structure
- References [0]
- Comments [0]
- Validations
- Western blot [1]
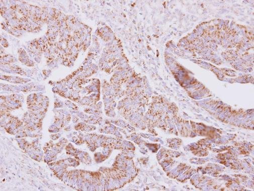
- Immunohistochemistry [1]
Submit
Validation data
Reference
Comment
Report error
- Product number
- ABIN558229 - Provider product page

- Provider
- antibodies-online
- Product name
- anti-ST6 (Alpha-N-Acetyl-Neuraminyl-2,3-beta-Galactosyl-1,3)-N-Acetylgalactosaminide alpha-2,6-Sialyltransferase 2 (ST6GALNAC2) antibody
- Antibody type
- Polyclonal
- Antigen
- Other
- Reactivity
- Human
- Host
- Rabbit
- Vial size
- 0.1 ml
No comments: Submit comment
Supportive validation
- Submitted by
- antibodies-online (provider)
- Main image

- Experimental details
- Image(s): Western Blotting
Supportive validation
- Submitted by
- antibodies-online (provider)
- Main image

- Experimental details
- Image(s): Immunohistochemistry