Antibody data
- Antibody Data
 - Antigen structure
 - References [1]
 - Comments [0]
 - Validations
 - Western blot [2]
 - Immunohistochemistry [5]
 - Flow cytometry [1]
 
Submit
Validation data
Reference
Comment
Report error
- Product number
 - NBP2-01770 - Provider product page

 - Provider
 - Novus Biologicals
 - Product name
 - Mouse Monoclonal FMRP Antibody
 - Antibody type
 - Monoclonal
 - Description
 - Affinity purified.
 - Reactivity
 - Human, Mouse, Rat, Canine, Simian
 - Host
 - Mouse
 - Isotype
 - IgG
 - Vial size
 - 0.1 ml
 - Concentration
 - 1 mg/ml
 - Storage
 - Store at -20C. Avoid freeze-thaw cycles.
 
Submitted references		Identification of a molecular locus for normalizing dysregulated GABA release from interneurons in the Fragile X brain.
				
		
	
			Yang YM, Arsenault J, Bah A, Krzeminski M, Fekete A, Chao OY, Pacey LK, Wang A, Forman-Kay J, Hampson DR, Wang LY
Molecular psychiatry 2020 Sep;25(9):2017-2035
		Molecular psychiatry 2020 Sep;25(9):2017-2035
				No comments: Submit comment	
	
			
							
					Supportive validation
					
									
				
				- Submitted by
 - Novus Biologicals (provider)
 - Main image
 
- Experimental details
 - Western Blot: FMRP Antibody (1C6) [NBP2-01770] - HEK293T cells were transfected with the pCMV6-ENTRY control (Left lane) or pCMV6-ENTRY FMRP (Right lane) cDNA for 48 hrs and lysed. Equivalent amounts of cell lysates (5 ug per lane) were separated by SDS-PAGE and immunoblotted with anti-FMRP.
 
- Submitted by
 - Novus Biologicals (provider)
 - Main image
 
- Experimental details
 - Western Blot: FMRP Antibody (1C6) [NBP2-01770] Analysis of extracts (35ug) from 9 different cell lines by using anti-FMRP monoclonal antibody (HepG2: human; HeLa: human; SVT2: mouse; A549: human; COS7: monkey; Jurkat: human; MDCK: canine; PC12: rat; MCF7: human).
 
							
					Supportive validation
					
									
				
				- Submitted by
 - Novus Biologicals (provider)
 - Main image
 
- Experimental details
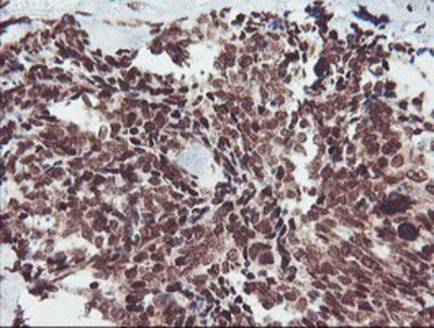
 - Immunohistochemistry-Paraffin: FMRP Antibody (1C6) [NBP2-01770] - Staining of paraffin-embedded Adenocarcinoma of Human breast tissue using anti-FMRP mouse monoclonal antibody.
 
- Submitted by
 - Novus Biologicals (provider)
 - Main image
 
- Experimental details
 - Immunohistochemistry-Paraffin: FMRP Antibody (1C6) [NBP2-01770] - Staining of paraffin-embedded Adenocarcinoma of Human colon tissue using anti-FMRP mouse monoclonal antibody.
 
- Submitted by
 - Novus Biologicals (provider)
 - Main image
 
- Experimental details
 - Immunohistochemistry-Paraffin: FMRP Antibody (1C6) [NBP2-01770] - Staining of paraffin-embedded Carcinoma of Human kidney tissue using anti-FMRP mouse monoclonal antibody.
 
- Submitted by
 - Novus Biologicals (provider)
 - Main image
 
- Experimental details
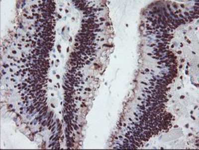
 - Immunohistochemistry-Paraffin: FMRP Antibody (1C6) [NBP2-01770] - Staining of paraffin-embedded Human colon tissue using anti-FMRP mouse monoclonal antibody.
 
- Submitted by
 - Novus Biologicals (provider)
 - Main image
 
- Experimental details
 - Immunohistochemistry-Paraffin: FMRP Antibody (1C6) [NBP2-01770] - Staining of paraffin-embedded Human pancreas tissue using anti-FMRP mouse monoclonal antibody.
 
							
					Supportive validation
					
									
				
		- Submitted by
 - Novus Biologicals (provider)
 - Main image
 
- Experimental details
 - Flow Cytometry: FMRP Antibody (1C6) [NBP2-01770] - Analysis of Jurkat cells, using anti-FMRP antibody, (Red), compared to a nonspecific negative control antibody (Blue).