Antibody data
- Antibody Data
- Antigen structure
- References [0]
- Comments [0]
- Validations
- Western blot [2]
- Immunocytochemistry [1]
- Immunohistochemistry [14]
- Flow cytometry [2]
Submit
Validation data
Reference
Comment
Report error
- Product number
- GTX83991 - Provider product page

- Provider
- GeneTex
- Proper citation
- GeneTex Cat#GTX83991, RRID:AB_10734143
- Product name
- NT5DC1 antibody [3H2]
- Antibody type
- Monoclonal
- Reactivity
- Human
- Host
- Mouse
No comments: Submit comment
Supportive validation
- Submitted by
- GeneTex (provider)
- Main image

- Experimental details
- Western blot analysis of extracts (35ug) from 9 different cell lines by using anti-NT5DC1 monoclonal antibody.
- Validation comment
- WB
- Submitted by
- GeneTex (provider)
- Main image

- Experimental details
- HEK293T cells were transfected with the pCMV6-ENTRY control (Left lane) or pCMV6-ENTRY NT5DC1 (Right lane) cDNA for 48 hrs and lysed. Equivalent amounts of cell lysates (5 ug per lane) were separated by SDS-PAGE and immunoblotted with anti-NT5DC1.
- Validation comment
- WB
Supportive validation
- Submitted by
- GeneTex (provider)
- Main image

- Experimental details
- Anti-NT5DC1 mouse monoclonal antibody (GTX83991) immunofluorescent staining of COS7 cells transiently transfected with NT5DC1
Supportive validation
- Submitted by
- GeneTex (provider)
- Main image

- Experimental details
- Immunohistochemical staining of paraffin-embedded Adenocarcinoma of Human breast tissue using anti-NT5DC1 mouse monoclonal antibody. (GTX83991)
- Submitted by
- GeneTex (provider)
- Main image

- Experimental details
- Immunohistochemical staining of paraffin-embedded Human lymph node tissue using anti-NT5DC1 mouse monoclonal antibody. (GTX83991)
- Submitted by
- GeneTex (provider)
- Main image

- Experimental details
- Immunohistochemical staining of paraffin-embedded Human thyroid tissue using anti-NT5DC1 mouse monoclonal antibody. (GTX83991)
- Submitted by
- GeneTex (provider)
- Main image

- Experimental details
- Immunohistochemical staining of paraffin-embedded Adenocarcinoma of Human endometrium tissue using anti-NT5DC1 mouse monoclonal antibody. (GTX83991)
- Submitted by
- GeneTex (provider)
- Main image

- Experimental details
- Immunohistochemical staining of paraffin-embedded Adenocarcinoma of Human ovary tissue using anti-NT5DC1 mouse monoclonal antibody. (GTX83991)
- Submitted by
- GeneTex (provider)
- Main image

- Experimental details
- Immunohistochemical staining of paraffin-embedded Human lymphoma tissue using anti-NT5DC1 mouse monoclonal antibody. (GTX83991)
- Submitted by
- GeneTex (provider)
- Main image

- Experimental details
- Immunohistochemical staining of paraffin-embedded Human pancreas tissue using anti-NT5DC1 mouse monoclonal antibody. (GTX83991)
- Submitted by
- GeneTex (provider)
- Main image

- Experimental details
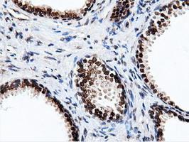
- Immunohistochemical staining of paraffin-embedded Human prostate tissue using anti-NT5DC1 mouse monoclonal antibody. (GTX83991)
- Submitted by
- GeneTex (provider)
- Main image

- Experimental details
- Immunohistochemical staining of paraffin-embedded Carcinoma of Human bladder tissue using anti-NT5DC1 mouse monoclonal antibody. (GTX83991)
- Submitted by
- GeneTex (provider)
- Main image

- Experimental details
- Immunohistochemical staining of paraffin-embedded Human Kidney tissue using anti-NT5DC1 mouse monoclonal antibody. (GTX83991)
- Submitted by
- GeneTex (provider)
- Main image

- Experimental details
- Immunohistochemical staining of paraffin-embedded Human liver tissue using anti-NT5DC1 mouse monoclonal antibody. (GTX83991)
- Submitted by
- GeneTex (provider)
- Main image

- Experimental details
- Immunohistochemical staining of paraffin-embedded Carcinoma of Human kidney tissue using anti-NT5DC1 mouse monoclonal antibody. (GTX83991)
- Submitted by
- GeneTex (provider)
- Main image

- Experimental details
- Immunohistochemical staining of paraffin-embedded Carcinoma of Human lung tissue using anti-NT5DC1 mouse monoclonal antibody. (GTX83991)
- Submitted by
- GeneTex (provider)
- Main image

- Experimental details
- Immunohistochemical staining of paraffin-embedded Carcinoma of Human prostate tissue using anti-NT5DC1 mouse monoclonal antibody. (GTX83991)
Supportive validation
- Submitted by
- GeneTex (provider)
- Main image

- Experimental details
- HEK293T cells transfected with either RC211087 overexpress plasmid(Red) or empty vector control plasmid(Blue) were immunostained by anti-NT5DC1 antibody(GTX83991), and then analyzed by flow cytometry.
- Submitted by
- GeneTex (provider)
- Main image

- Experimental details
- Flow cytometric Analysis of Jurkat cells, using anti-NT5DC1 antibody(GTX83991),(Red), compared to a nonspecific negative control antibody(TA50011),(Blue).