Antibody data
- Antibody Data
- Antigen structure
- References [0]
- Comments [0]
- Validations
- Immunocytochemistry [3]
Submit
Validation data
Reference
Comment
Report error
- Product number
- ADI-905-792-100 - Provider product page

- Provider
- Enzo Life Sciences
- Proper citation
- Enzo Life Sciences Cat#ADI-905-792-100, RRID:AB_2039131
- Product name
- Ghrelin receptor GHS-R, pAb
- Antibody type
- Polyclonal
- Antigen
- Synthetic peptide
- Description
- Peptide affinity purified. Liquid. In PBS containing 50% glycerol and 0.01% sodium azide.
No comments: Submit comment
Supportive validation
- Submitted by
- Enzo Life Sciences (provider)
- Main image

- Experimental details
- Western blot analysis: MW marker (1) and 20µg rat heart extract (2) probed with Ghrelin Receptor (GHS-R) pAb 8.5µg/ml.
- Submitted by
- Enzo Life Sciences (provider)
- Main image

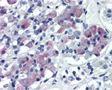
- Experimental details
- Immunohistochemistry analysis: Human anterior pituitary, formalin-fixed, paraffin-embedded, and stained with Ghrelin Receptor (GHS-R) pAb at 40µg/ml. The image shows the localization of the antibody as the precipitated red signal, with a hematoxylin purple nuclear counterstain.
- Submitted by
- Enzo Life Sciences (provider)
- Main image

- Experimental details
- Membrane ELISA: Lewis rat heart membranes (5µg/well) were treated with 1 µM concentrations of agonist (Ghrelin) and probed with Ghrelin Receptor (GHS-R) pAb (1:250 to 1:2000 of a 1µg/µL stock solution) by ELISA. Data from vehicle treated cells were taken as 100%. Results are the mean ± SEM (n=4).