Antibody data
- Antibody Data
- Antigen structure
- References [0]
- Comments [0]
- Validations
- Immunohistochemistry [1]
Submit
Validation data
Reference
Comment
Report error
- Product number
- PA5-48699 - Provider product page

- Provider
- Invitrogen Antibodies
- Product name
- Anti-WEE2 Polyclonal Antibody
- Antibody type
- Polyclonal
- Antigen
- Synthetic peptide
- Reactivity
- Human, Mouse
- Host
- Rabbit
- Isotype
- IgG
- Vial size
- 400 µl
- Concentration
- Lot Dependent
- Storage
- -20° C, Avoid Freeze/Thaw Cycles
No comments: Submit comment
Supportive validation
- Submitted by
- Invitrogen Antibodies (provider)
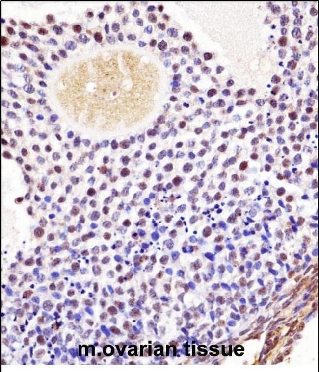
- Main image

- Experimental details
- Immunohistochemical analysis of Mouse Wee2 in formalin fixed and paraffin embedded mouse ovarian tissue. Samples were probed with a Mouse Wee2 Antibody (Center) (Product # PA5-48699) followed by peroxidase conjugation of the secondary antibody and DAB staining.