Antibody data
- Antibody Data
- Antigen structure
- References [0]
- Comments [0]
- Validations
- Western blot [2]
- Immunohistochemistry [4]
- Flow cytometry [1]
Submit
Validation data
Reference
Comment
Report error
- Product number
- NBP2-01791 - Provider product page

- Provider
- Novus Biologicals
- Product name
- Mouse Monoclonal Coatomer Subunit Delta Antibody
- Antibody type
- Monoclonal
- Description
- Affinity purified.
- Reactivity
- Human, Mouse, Rat, Canine, Simian
- Host
- Mouse
- Isotype
- IgG
- Vial size
- 0.1 ml
- Concentration
- 0.73 mg/ml
- Storage
- Store at -20C. Avoid freeze-thaw cycles.
No comments: Submit comment
Supportive validation
- Submitted by
- Novus Biologicals (provider)
- Main image

- Experimental details
- Western Blot: Coatomer Subunit Delta Antibody (6A6) [NBP2-01791] - HEK293T cells were transfected with the pCMV6-ENTRY control (Left lane) or pCMV6-ENTRY Coatomer Subunit Delta (Right lane) cDNA for 48 hrs and lysed. Equivalent amounts of cell lysates (5 ug per lane) were separated by SDS-PAGE and immunoblotted with anti-Coatomer Subunit Delta.
- Submitted by
- Novus Biologicals (provider)
- Main image

- Experimental details
- Western Blot: Coatomer Subunit Delta Antibody (6A6) [NBP2-01791] - Analysis of extracts (35ug) from 9 different cell lines by using anti-Coatomer Subunit Delta monoclonal antibody (HepG2: human; HeLa: human; SVT2: mouse; A549: human; COS7: monkey; Jurkat: human; MDCK: canine; PC12: rat; MCF7: human).
Supportive validation
- Submitted by
- Novus Biologicals (provider)
- Main image

- Experimental details
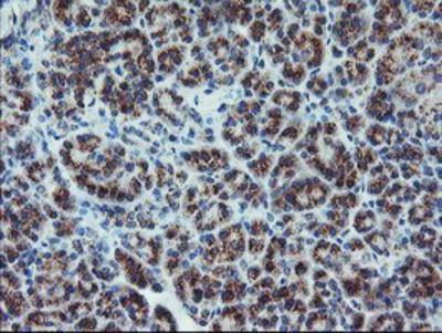
- Immunohistochemistry-Paraffin: Coatomer Subunit Delta Antibody (6A6) [NBP2-01791] - Staining of paraffin-embedded Human pancreas tissue using anti-Coatomer Subunit Delta mouse monoclonal antibody.
- Submitted by
- Novus Biologicals (provider)
- Main image

- Experimental details
- Immunohistochemistry-Paraffin: Coatomer Subunit Delta Antibody (6A6) [NBP2-01791] - Staining of paraffin-embedded Carcinoma of Human prostate tissue using anti-Coatomer Subunit Delta mouse monoclonal antibody.
- Submitted by
- Novus Biologicals (provider)
- Main image

- Experimental details
- Immunohistochemistry-Paraffin: Coatomer Subunit Delta Antibody (6A6) [NBP2-01791] - Staining of paraffin-embedded Adenocarcinoma of Human endometrium tissue using anti-Coatomer Subunit Delta mouse monoclonal antibody.
- Submitted by
- Novus Biologicals (provider)
- Main image

- Experimental details
- Immunohistochemistry-Paraffin: Coatomer Subunit Delta Antibody (6A6) [NBP2-01791] - Staining of paraffin-embedded Adenocarcinoma of Human colon tissue using anti-Coatomer Subunit Delta mouse monoclonal antibody.
Supportive validation
- Submitted by
- Novus Biologicals (provider)
- Main image

- Experimental details
- Flow Cytometry: Coatomer Subunit Delta Antibody (6A6) [NBP2-01791] - HEK293T cells transfected with either overexpression plasmid (Red) or empty vector control plasmid (Blue) were immunostained by anti-Coatomer Subunit Delta antibody, and then analyzed by flow cytometry.