Antibody data
- Antibody Data
- Antigen structure
- References [3]
- Comments [0]
- Validations
- Western blot [1]
- Immunohistochemistry [1]
Submit
Validation data
Reference
Comment
Report error
- Product number
- PAB13360 - Provider product page

- Provider
- Abnova Corporation
- Proper citation
- Abnova Corporation Cat#PAB13360, RRID:AB_10553711
- Product name
- TMC6 polyclonal antibody
- Antibody type
- Polyclonal
- Description
- Rabbit polyclonal antibody raised against synthetic peptide of TMC6.
- Storage
- Store at 4°C for three months. For long term storage store at -20°C.Aliquot to avoid repeated freezing and thawing.
Submitted references Regulation of cellular zinc balance as a potential mechanism of EVER-mediated protection against pathogenesis by cutaneous oncogenic human papillomaviruses.
TMC and EVER genes belong to a larger novel family, the TMC gene family encoding transmembrane proteins.
Epidermodysplasia verruciformis. Immunological and nonimmunological surveillance mechanisms: role in tumor progression.
Lazarczyk M, Pons C, Mendoza JA, Cassonnet P, Jacob Y, Favre M
The Journal of experimental medicine 2008 Jan 21;205(1):35-42
The Journal of experimental medicine 2008 Jan 21;205(1):35-42
TMC and EVER genes belong to a larger novel family, the TMC gene family encoding transmembrane proteins.
Keresztes G, Mutai H, Heller S
BMC genomics 2003 Jun 17;4(1):24
BMC genomics 2003 Jun 17;4(1):24
Epidermodysplasia verruciformis. Immunological and nonimmunological surveillance mechanisms: role in tumor progression.
Majewski S, Jabłońska S, Orth G
Clinics in dermatology 1997 May-Jun;15(3):321-34
Clinics in dermatology 1997 May-Jun;15(3):321-34
No comments: Submit comment
Supportive validation
- Submitted by
- Abnova Corporation (provider)
- Main image

- Experimental details
- Western blot analysis of TMC6 in human spleen tissue lysate with TMC6 polyclonal antibody (Cat # PAB13360) at (A) 1 and (B) 2 ug/mL .
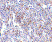
Supportive validation
- Submitted by
- Abnova Corporation (provider)
- Main image

- Experimental details
- Immunohistochemistry of TMC6 in human spleen with TMC6 polyclonal antibody (Cat # PAB13360) at 2.5 ug/mL .
- Validation comment
- Immunohistochemistry (Formalin/PFA-fixed paraffin-embedded sections)