Antibody data
- Antibody Data
- Antigen structure
- References [0]
- Comments [0]
- Validations
- Western blot [2]
- Immunohistochemistry [5]
Submit
Validation data
Reference
Comment
Report error
- Product number
- LS-C375799 - Provider product page

- Provider
- LSBio
- Product name
- GLRX3 / Glutaredoxin 3 Antibody (aa1-335) LS-C375799
- Antibody type
- Polyclonal
- Description
- Immunoaffinity purified
- Reactivity
- Human, Rat
- Host
- Rabbit
- Isotype
- IgG
- Storage
- Short term: -20°C; Long term: -80°C; Avoid freeze-thaw cycles.
No comments: Submit comment
Enhanced validation
- Submitted by
- LSBio (provider)
- Enhanced method
- Genetic validation
- Main image

- Experimental details
- Western blot. All lanes: Glutaredoxin-3 antibody at 10 ug/ml. Lane 1: rat brain tissue. Lane 2: HepG2 whole cell lysate. Lane 3: HeLa whole cell lysate. Secondary antibody: Goat polyclonal to rabbit at 1:10000 dilution. Predicted band size: 37 kDa. Observed band size: 37 kDa.
- Submitted by
- LSBio (provider)
- Enhanced method
- Genetic validation
- Main image

- Experimental details
- Western blot All lanes: Glutaredoxin-3 antibody at 10µg/ml Lane 1: Rat brain tissue Lane 2: HepG2 whole cell lysate Lane 3: Hela whole cell lysate Secondary Goat polyclonal to rabbit IgG at 1/10000 dilution Predicted band size: 37 kDa Observed band size: 37 kDa
Supportive validation
- Submitted by
- LSBio (provider)
- Enhanced method
- Genetic validation
- Main image

- Experimental details
- Immunohistochemistry of paraffin-embedded human testicle using antibody at 1:100 dilution.
- Submitted by
- LSBio (provider)
- Enhanced method
- Genetic validation
- Main image

- Experimental details
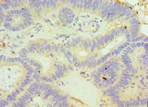
- Immunohistochemistry of paraffin-embedded human colon cancer using antibody at 1:100 dilution.
- Submitted by
- LSBio (provider)
- Enhanced method
- Genetic validation
- Main image

- Experimental details
- Immunohistochemistry of paraffin-embedded human testicle using antibody at 1:100 dilution.
- Submitted by
- LSBio (provider)
- Enhanced method
- Genetic validation
- Main image

- Experimental details
- Immunohistochemistry of paraffin-embedded human testicle using antibody at 1:100 dilution.
- Submitted by
- LSBio (provider)
- Enhanced method
- Genetic validation
- Main image

- Experimental details
- Immunohistochemistry of paraffin-embedded human colon cancer using antibody at 1:100 dilution.