Antibody data
- Antibody Data
- Antigen structure
- References [0]
- Comments [0]
- Validations
- Western blot [1]
- Immunohistochemistry [1]
Submit
Validation data
Reference
Comment
Report error
- Product number
- AF7560 - Provider product page

- Provider
- R&D Systems
- Product name
- Human/Mouse/Rat Glutaredoxin 3/GLRX3 Antibody
- Antibody type
- Polyclonal
- Description
- Antigen Affinity-purified. Detects human, mouse and rat Glutaredoxin 3/GLRX3 in Western blots.
- Reactivity
- Human, Mouse, Rat
- Host
- Sheep
- Conjugate
- Unconjugated
- Antigen sequence
O76003- Isotype
- IgG
- Vial size
- 100 ug
- Concentration
- LYOPH
- Storage
- Use a manual defrost freezer and avoid repeated freeze-thaw cycles. 12 months from date of receipt, -20 to -70 °C as supplied. 1 month, 2 to 8 °C under sterile conditions after reconstitution. 6 months, -20 to -70 °C under sterile conditions after reconstitution.
No comments: Submit comment
Supportive validation
- Submitted by
- R&D Systems (provider)
- Main image

- Experimental details
- Detection of Human, Mouse, and Rat Glutaredoxin 3/GLRX3 by Western Blot. Western blot shows lysates of HepG2 human hepatocellular carcinoma cell line, NIH-3T3 mouse embryonic fibroblast cell line, and H4-II-E-C3 rat hepatoma cell line. PVDF membrane was probed with 1 µg/mL of Sheep Anti-Human Glutaredoxin 3/GLRX3 Antigen Affinity-purified Polyclonal Antibody (Catalog # AF7560) followed by HRP-conjugated Anti-Sheep IgG Secondary Antibody (Catalog # HAF016). A specific band was detected for Glutaredoxin 3/GLRX3 at approximately 40 kDa (as indicated). This experiment was conducted under reducing conditions and using Immunoblot Buffer Group 1.
Supportive validation
- Submitted by
- R&D Systems (provider)
- Main image

- Experimental details
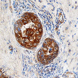
- Glutaredoxin 3/GLRX3 in Human Breast Cancer Tissue. Glutaredoxin 3/GLRX3 was detected in immersion fixed paraffin-embedded sections of human breast cancer tissue using Sheep Anti-Human/Mouse/Rat Glutaredoxin 3/GLRX3 Antigen Affinity-purified Polyclonal Antibody (Catalog # AF7560) at 5 µg/mL overnight at 4 °C. Tissue was stained using the Anti-Sheep HRP-DAB Cell & Tissue Staining Kit (brown; Catalog # CTS019) and counterstained with hematoxylin (blue). Specific staining was localized to cytoplasm in ductal cells. View our protocol for Chromogenic IHC Staining of Paraffin-embedded Tissue Sections.