Antibody data
- Antibody Data
- Antigen structure
- References [0]
- Comments [0]
- Validations
- Immunohistochemistry [2]
Submit
Validation data
Reference
Comment
Report error
- Product number
- LS-C403645 - Provider product page

- Provider
- LSBio
- Product name
- TCERG1L Antibody LS-C403645
- Antibody type
- Polyclonal
- Description
- Affinity purification
- Reactivity
- Human
- Host
- Rabbit
- Isotype
- IgG
- Storage
- Store at -20°C. Avoid freeze-thaw cycles.
No comments: Submit comment
Supportive validation
- Submitted by
- LSBio (provider)
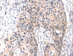
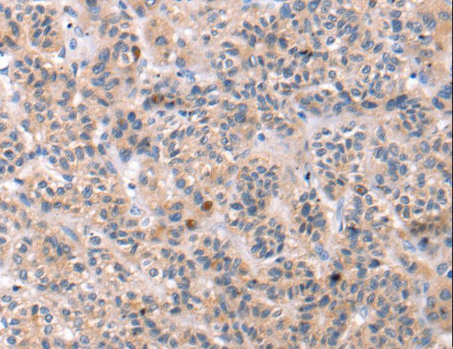
- Main image

- Experimental details
- Immunohistochemistry of paraffin-embedded Human esophagus cancer using TCERG1L Polyclonal Antibody at dilution of 1:30.
- Submitted by
- LSBio (provider)
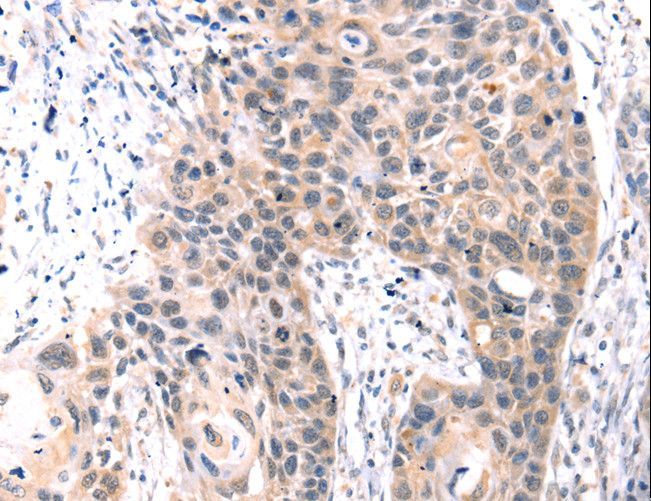
- Main image

- Experimental details
- Immunohistochemistry of paraffin-embedded Human esophagus cancer using TCERG1L Polyclonal Antibody at dilution of 1:30.