Antibody data
- Antibody Data
- Antigen structure
- References [0]
- Comments [0]
- Validations
- Western blot [1]
- Immunocytochemistry [1]
- Immunohistochemistry [1]
Submit
Validation data
Reference
Comment
Report error
- Product number
- AP14420PU-N - Provider product page

- Provider
- Acris Antibodies GmbH
- Proper citation
- Acris Antibodies GmbH Cat#AP14420PU-N, RRID:AB_1770985
- Product name
- anti ROS1 (N-term)
- Antibody type
- Polyclonal
- Antigen
- KLH conjugated synthetic peptide between 33~63 amino acids from the N-terminal region of Human ROS.
- Reactivity
- Human
- Host
- Rabbit
- Vial size
- 0.4 ml
- Concentration
- lot specific
No comments: Submit comment
Supportive validation
- Submitted by
- Acris Antibodies GmbH (provider)
- Main image

- Experimental details
- Western blot analysis of anti-ROS Pab in HL-60 cell lysate. ROS (arrow) was detected using purified Pab. Secondary HRP-anti-rabbit was used for signal visualization with chemiluminescence.
Supportive validation
- Submitted by
- Acris Antibodies GmbH (provider)
- Main image

- Experimental details
- Negative Control of hela cells without FITC-conjugated Goat anti-Rabbit lgG (H+L). FITC-conjugated Goat anti-Rabbit lgG (H+L) emits green Fluorescence. (Bottom) Immunofluorescence analysis of AP14420PU-N ROS Antibody (N-term) in HeLa cells. 0.025 mg/ml primary antibody was followed by FITC-conjugated Goat anti-Rabbit lgG (H+L).
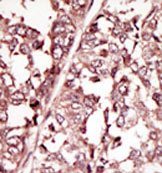
Supportive validation
- Submitted by
- Acris Antibodies GmbH (provider)
- Main image

- Experimental details
- Formalin-fixed and paraffin-embedded human cancer tissue reacted with the primary antibody, which was peroxidase-conjugated to the secondary antibody, followed by DAB staining.