20612-1-AP
antibody from Proteintech Group
Targeting: SLC37A4
G6PT1, G6PT2, G6PT3, GSD1b, GSD1c, GSD1d
Antibody data
- Antibody Data
- Antigen structure
- References [1]
- Comments [0]
- Validations
- Western blot [1]
- Immunohistochemistry [2]
Submit
Validation data
Reference
Comment
Report error
- Product number
- 20612-1-AP - Provider product page

- Provider
- Proteintech Group
- Proper citation
- Proteintech Cat#20612-1-AP, RRID:AB_10858386
- Product name
- SLC37A4 antibody
- Antibody type
- Polyclonal
- Description
- SLC37A4 antibody (Cat. #20612-1-AP) is a rabbit polyclonal antibody that shows reactivity with human, mouse, rat and has been validated for the following applications: IHC, WB,ELISA.
- Reactivity
- Human, Mouse, Rat
- Host
- Rabbit
- Conjugate
- Unconjugated
- Isotype
- IgG
- Vial size
- 20ul, 150ul
Submitted references Circ_0000235 targets MCT4 to promote glycolysis and progression of bladder cancer by sponging miR-330-5p.
Zhong J, Xu A, Xu P, Su M, Wang P, Liu Z, Li B, Liu C, Jiang N
Cell death discovery 2023 Aug 2;9(1):283
Cell death discovery 2023 Aug 2;9(1):283
No comments: Submit comment
Supportive validation
- Submitted by
- Proteintech Group (provider)
- Main image

- Experimental details
- mouse kidney tissue were subjected to SDS PAGE followed by western blot with 20612-1-AP(SLC37A4 antibody) at dilution of 1:500
- Sample type
- tissue
Supportive validation
- Submitted by
- Proteintech Group (provider)
- Main image

- Experimental details
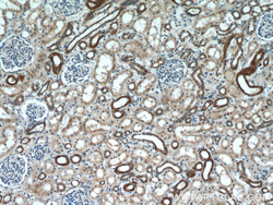
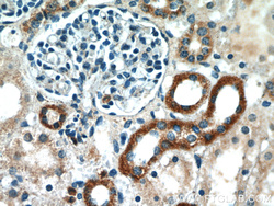
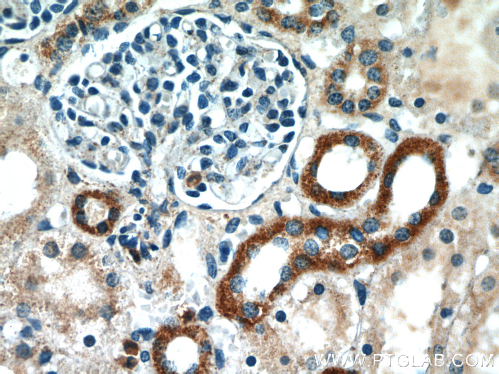
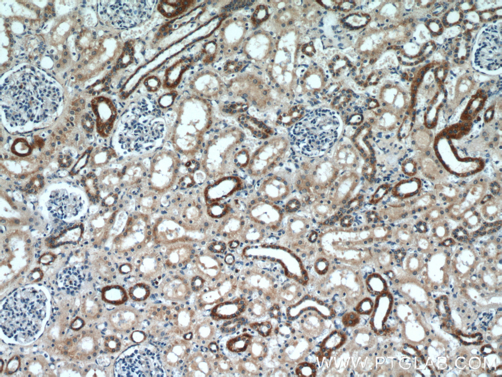
- Immunohistochemical of paraffin-embedded human kidney using 20612-1-AP(SLC37A4 antibody) at dilution of 1:50 (under 10x lens)
- Sample type
- tissue
- Submitted by
- Proteintech Group (provider)
- Main image

- Experimental details
- The SLC37A4 antibody from Proteintech is a rabbit polyclonal antibody to a fusion protein of human SLC37A4. This antibody recognizes human, mouse, rat antigen. The SLC37A4 antibody has been validated for the following applications: ELISA, WB, IHC analysis.