PA5-89908
antibody from Invitrogen Antibodies
Targeting: SLC37A4
G6PT1, G6PT2, G6PT3, GSD1b, GSD1c, GSD1d
Antibody data
- Antibody Data
- Antigen structure
- References [0]
- Comments [0]
- Validations
- Western blot [1]
- Immunohistochemistry [6]
Submit
Validation data
Reference
Comment
Report error
- Product number
- PA5-89908 - Provider product page

- Provider
- Invitrogen Antibodies
- Product name
- SLC37A4 Polyclonal Antibody
- Antibody type
- Polyclonal
- Antigen
- Synthetic peptide
- Description
- Positive Samples: Mouse kidney, Rat liver; Cellular Location: Endoplasmic reticulum membrane, Multi-pass membrane protein Immunogen sequence: RNIRTKMGRV SKKAE
- Reactivity
- Human, Mouse, Rat
- Host
- Rabbit
- Isotype
- IgG
- Vial size
- 100 μL
- Concentration
- 2.58 mg/mL
- Storage
- -20°C, Avoid Freeze/Thaw Cycles
No comments: Submit comment
Supportive validation
- Submitted by
- Invitrogen Antibodies (provider)
- Main image

- Experimental details
- Western blot analysis of SLC37A4 in HepG2 cells. Samples were incubated with SLC37A4 Polyclonal antibody (Product # PA5-89908) using a dilution of 1:3,000, followed by HRP Goat Anti-Rabbit IgG (H+L) at a dilution of 1:10,000. Lysates/proteins: 25 µg per lane. Blocking buffer: 3% nonfat dry milk in TBST. Detection: ECL Basic Kit. Exposure time: 180s.
Supportive validation
- Submitted by
- Invitrogen Antibodies (provider)
- Main image

- Experimental details
- Immunohistochemistry analysis of SLC37A4 in paraffin-embedded rat brain. Samples were incubated with SLC37A4 Polyclonal antibody (Product # PA5-89908) using a dilution of 1:100 (40x lens). Perform microwave antigen retrieval with 10 mM PBS buffer pH 7.2 before commencing with IHC staining protocol.
- Submitted by
- Invitrogen Antibodies (provider)
- Main image

- Experimental details
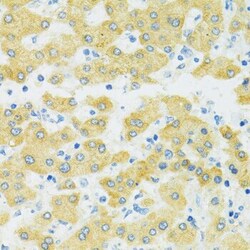
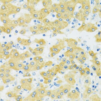
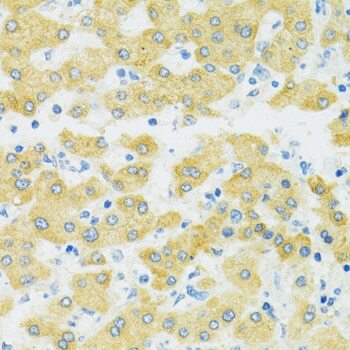
- Immunohistochemistry analysis of SLC37A4 in paraffin-embedded human liver. Samples were incubated with SLC37A4 Polyclonal antibody (Product # PA5-89908) using a dilution of 1:100 (40x lens). Perform microwave antigen retrieval with 10 mM PBS buffer pH 7.2 before commencing with IHC staining protocol.
- Submitted by
- Invitrogen Antibodies (provider)
- Main image

- Experimental details
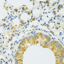
- Immunohistochemistry analysis of SLC37A4 in paraffin-embedded mouse lung. Samples were incubated with SLC37A4 Polyclonal antibody (Product # PA5-89908) using a dilution of 1:100 (40x lens). Perform microwave antigen retrieval with 10 mM PBS buffer pH 7.2 before commencing with IHC staining protocol.
- Submitted by
- Invitrogen Antibodies (provider)
- Main image

- Experimental details
- Immunohistochemistry analysis of SLC37A4 in paraffin-embedded mouse brain. Samples were incubated with SLC37A4 Polyclonal antibody (Product # PA5-89908) using a dilution of 1:100 (40x lens). Perform microwave antigen retrieval with 10 mM PBS buffer pH 7.2 before commencing with IHC staining protocol.
- Submitted by
- Invitrogen Antibodies (provider)
- Main image

- Experimental details
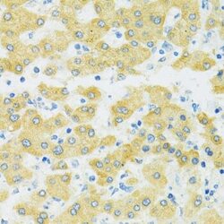
- Immunohistochemistry analysis of SLC37A4 in paraffin-embedded human liver. Samples were incubated with SLC37A4 Polyclonal antibody (Product # PA5-89908) using a dilution of 1:100 (40x lens). Perform microwave antigen retrieval with 10 mM PBS buffer pH 7.2 before commencing with IHC staining protocol.
- Submitted by
- Invitrogen Antibodies (provider)
- Main image

- Experimental details
- Immunohistochemistry analysis of SLC37A4 in paraffin-embedded mouse brain. Samples were incubated with SLC37A4 Polyclonal antibody (Product # PA5-89908) using a dilution of 1:100 (40x lens). Perform microwave antigen retrieval with 10 mM PBS buffer pH 7.2 before commencing with IHC staining protocol.