ARP43820_P050
antibody from Aviva Systems Biology
Targeting: SLC37A4
G6PT1, G6PT2, G6PT3, GSD1b, GSD1c, GSD1d
Antibody data
- Antibody Data
- Antigen structure
- References [0]
- Comments [0]
- Validations
- Western blot [1]
- Immunohistochemistry [1]
Submit
Validation data
Reference
Comment
Report error
- Product number
- ARP43820_P050 - Provider product page

- Provider
- Aviva Systems Biology
- Proper citation
- Aviva Systems Biology Cat#ARP43820_P050, RRID:AB_2048125
- Product name
- SLC37A4 antibody - N-terminal region (ARP43820_P050)
- Antibody type
- Polyclonal
- Antigen
- The immunogen is a synthetic peptide directed towards the N terminal region of human SLC37A4
- Description
- Affinity Purified
- Reactivity
- Human, Mouse, Rat, Bovine, Canine, Guinea Pig, Horse, Porcine, Rabbit
- Host
- Rabbit
- Vial size
- 100 μl
- Concentration
- Liquid. Purified antibody supplied in 1x PBS buffer with 0.09% (w/v) sodium azide and 2% sucrose.
- Storage
- For short term use, store at 2-8C up to 1 week. For long term storage, store at -20C in small aliquots to prevent freeze-thaw cycles.
No comments: Submit comment
Supportive validation
- Submitted by
- Aviva Systems Biology (provider)
- Main image

- Experimental details
- WB Suggested Anti-SLC37A4Antibody Titration: 0.2-1µg/ml. ELISA Titer: 1:312500Positive Control: Human brain
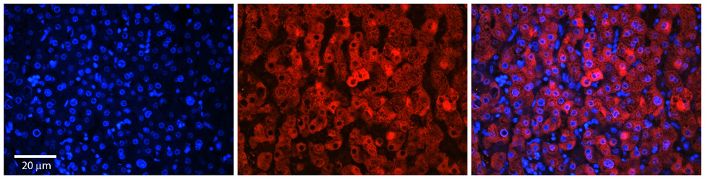
Supportive validation
- Submitted by
- Aviva Systems Biology (provider)
- Main image

- Experimental details
- Rabbit Anti-SLC37A4 Antibody Catalog Number: ARP43820_P050Formalin Fixed Paraffin Embedded Tissue: Human Adult Liver Observed Staining: Cytoplasm in hepatocytes, moderate tissue distributionPrimary Antibody Concentration: 1:100Secondary Antibody: Donkey anti-Rabbit-Cy3Secondary Antibody Concentration: 1:200Magnification: 20XExposure Time: 0.5 ââ¬â 2.0 secProtocol located in Reviews and Data.