Antibody data
- Antibody Data
- Antigen structure
- References [30]
- Comments [0]
- Validations
- Western blot [1]
- Immunohistochemistry [2]
Submit
Validation data
Reference
Comment
Report error
- Product number
- 17115-1-AP - Provider product page

- Provider
- Proteintech Group
- Proper citation
- Proteintech Cat#17115-1-AP, RRID:AB_2290195
- Product name
- ATP6V1A antibody
- Antibody type
- Polyclonal
- Description
- ATP6V1A antibody (Cat. #17115-1-AP) is a rabbit polyclonal antibody that shows reactivity with human, mouse, rat and has been validated for the following applications: IHC, IP, WB, ELISA.
- Reactivity
- Human, Mouse, Rat
- Host
- Rabbit
- Conjugate
- Unconjugated
- Isotype
- IgG
- Vial size
- 20ul, 150ul
Submitted references Naringin Protects against Non-Alcoholic Fatty Liver Disease by Promoting Autophagic Flux and Lipophagy.
MRPL12-ANT3 interaction involves in acute kidney injury via regulating MPTP of tubular epithelial cells.
Sperm immotility is associated with epididymis metabolism disorder in mice under obstructive azoospermia.
Molecular Physiological Evidence for the Role of Na(+)-Cl(-) Co-Transporter in Branchial Na(+) Uptake in Freshwater Teleosts.
Toosendanin, a novel potent vacuolar-type H(+)-translocating ATPase inhibitor, sensitizes cancer cells to chemotherapy by blocking protective autophagy.
Zinc enhances autophagic flux and lysosomal function through transcription factor EB activation and V-ATPase assembly.
Teleostean fishes may have developed an efficient Na(+) uptake for adaptation to the freshwater system.
Inhibition of High-Temperature Requirement Protein A2 Protease Activity Represses Myogenic Differentiation via UPRmt.
Inhibition of human peptide deformylase by actinonin sensitizes glioblastoma cells to temozolomide chemotherapy.
DNA-Unresponsive Platinum(II) Complex Induces ERS-Mediated Mitophagy in Cancer Cells.
Tfeb-Mediated Transcriptional Regulation of Autophagy Induces Autosis during Ischemia/Reperfusion in the Heart.
Follicular lymphoma-associated mutations in the V-ATPase chaperone VMA21 activate autophagy creating a targetable dependency.
In Vivo Functional Assay in Fish Gills: Exploring Branchial Acid-Excreting Mechanisms in Zebrafish.
Exopolysaccharides from Bifidobacterium animalis Ameliorate Escherichia coli-Induced IPEC-J2 Cell Damage via Inhibiting Apoptosis and Restoring Autophagy.
Loss of vacuolar-type H+-ATPase induces caspase-independent necrosis-like death of hair cells in zebrafish neuromasts.
Identification of Required Host Factors for SARS-CoV-2 Infection in Human Cells.
Ajugol enhances TFEB-mediated lysosome biogenesis and lipophagy to alleviate non-alcoholic fatty liver disease.
The Ncoa7 locus regulates V-ATPase formation and function, neurodevelopment and behaviour.
DDRGK1, a crucial player of ufmylation system, is indispensable for autophagic degradation by regulating lysosomal function.
Butyrate-mediated autophagy inhibition limits cytosolic Salmonella Infantis replication in the colon of pigs treated with a mixture of Lactobacillus and Bacillus.
Caspase-8 Induces Lysosome-Associated Cell Death in Cancer Cells.
Spatiotemporal Changes of the Phagosomal Proteome in Dendritic Cells in Response to LPS Stimulation.
A pH-sensitive luminal His-cluster promotes interaction of PAM with V-ATPase along the secretory and endocytic pathways of peptidergic cells.
The interferon-inducible isoform of NCOA7 inhibits endosome-mediated viral entry.
Mycobacterium tuberculosis Controls Phagosomal Acidification by Targeting CISH-Mediated Signaling.
Sphingomyelin-induced inhibition of the plasma membrane calcium ATPase causes neurodegeneration in type A Niemann-Pick disease.
Proton pump inhibitors protect mice from acute systemic inflammation and induce long-term cross-tolerance.
Heme drives hemolysis-induced susceptibility to infection via disruption of phagocyte functions.
The V-ATPase accessory protein Atp6ap1b mediates dorsal forerunner cell proliferation and left-right asymmetry in zebrafish.
Rabconnectin3α promotes stable activity of the H+ pump on synaptic vesicles in hair cells.
Guan L, Guo L, Zhang H, Liu H, Zhou W, Zhai Y, Yan X, Men X, Peng L
Molecular nutrition & food research 2024 Feb;68(3):e2200812
Molecular nutrition & food research 2024 Feb;68(3):e2200812
MRPL12-ANT3 interaction involves in acute kidney injury via regulating MPTP of tubular epithelial cells.
Ji X, Chu L, Su D, Sun J, Song P, Sun S, Wang Y, Mu Q, Liu Y, Wan Q
iScience 2023 May 19;26(5):106656
iScience 2023 May 19;26(5):106656
Sperm immotility is associated with epididymis metabolism disorder in mice under obstructive azoospermia.
Gao S, Chen Z, Shi J, Chen Z, Yun D, Li X, Wu X, Sun F
FASEB journal : official publication of the Federation of American Societies for Experimental Biology 2023 Aug;37(8):e23081
FASEB journal : official publication of the Federation of American Societies for Experimental Biology 2023 Aug;37(8):e23081
Molecular Physiological Evidence for the Role of Na(+)-Cl(-) Co-Transporter in Branchial Na(+) Uptake in Freshwater Teleosts.
Shih SW, Yan JJ, Lu SW, Chuang YT, Lin HW, Chou MY, Hwang PP
International journal of molecular sciences 2023 Apr 1;24(7)
International journal of molecular sciences 2023 Apr 1;24(7)
Toosendanin, a novel potent vacuolar-type H(+)-translocating ATPase inhibitor, sensitizes cancer cells to chemotherapy by blocking protective autophagy.
Dong Y, Zhu G, Wang SF, Keon KA, Rubinstein JL, Zeng SX, Zhang S, Chen QL, Fu J, Li M, Shen HM, Lu JJ, Chen XP, Lu JH
International journal of biological sciences 2022;18(7):2684-2702
International journal of biological sciences 2022;18(7):2684-2702
Zinc enhances autophagic flux and lysosomal function through transcription factor EB activation and V-ATPase assembly.
Kim KR, Park SE, Hong JY, Koh JY, Cho DH, Hwang JJ, Kim YH
Frontiers in cellular neuroscience 2022;16:895750
Frontiers in cellular neuroscience 2022;16:895750
Teleostean fishes may have developed an efficient Na(+) uptake for adaptation to the freshwater system.
Tseng YC, Yan JJ, Furukawa F, Chen RD, Lee JR, Tsou YL, Liu TY, Tang YH, Hwang PP
Frontiers in physiology 2022;13:947958
Frontiers in physiology 2022;13:947958
Inhibition of High-Temperature Requirement Protein A2 Protease Activity Represses Myogenic Differentiation via UPRmt.
Sun H, Shen L, Zhang P, Lin F, Ma J, Wu Y, Yu H, Sun L
International journal of molecular sciences 2022 Oct 4;23(19)
International journal of molecular sciences 2022 Oct 4;23(19)
Inhibition of human peptide deformylase by actinonin sensitizes glioblastoma cells to temozolomide chemotherapy.
Lan B, Zhao H, He Y, Zhao Z, Wang N, Gao Y
Experimental cell research 2022 Nov 15;420(2):113358
Experimental cell research 2022 Nov 15;420(2):113358
DNA-Unresponsive Platinum(II) Complex Induces ERS-Mediated Mitophagy in Cancer Cells.
Guo Y, Jin S, Yuan H, Yang T, Wang K, Guo Z, Wang X
Journal of medicinal chemistry 2022 Jan 13;65(1):520-530
Journal of medicinal chemistry 2022 Jan 13;65(1):520-530
Tfeb-Mediated Transcriptional Regulation of Autophagy Induces Autosis during Ischemia/Reperfusion in the Heart.
Nah J, Sung EA, Zhai P, Zablocki D, Sadoshima J
Cells 2022 Jan 13;11(2)
Cells 2022 Jan 13;11(2)
Follicular lymphoma-associated mutations in the V-ATPase chaperone VMA21 activate autophagy creating a targetable dependency.
Wang F, Yang Y, Boudagh G, Eskelinen EL, Klionsky DJ, Malek SN
Autophagy 2022 Aug;18(8):1982-2000
Autophagy 2022 Aug;18(8):1982-2000
In Vivo Functional Assay in Fish Gills: Exploring Branchial Acid-Excreting Mechanisms in Zebrafish.
Shih SW, Yan JJ, Tsou YL, Lu SW, Wang MC, Chou MY, Hwang PP
International journal of molecular sciences 2022 Apr 16;23(8)
International journal of molecular sciences 2022 Apr 16;23(8)
Exopolysaccharides from Bifidobacterium animalis Ameliorate Escherichia coli-Induced IPEC-J2 Cell Damage via Inhibiting Apoptosis and Restoring Autophagy.
Yuan L, Chu B, Chen S, Li Y, Liu N, Zhu Y, Zhou D
Microorganisms 2021 Nov 16;9(11)
Microorganisms 2021 Nov 16;9(11)
Loss of vacuolar-type H+-ATPase induces caspase-independent necrosis-like death of hair cells in zebrafish neuromasts.
Santra P, Amack JD
Disease models & mechanisms 2021 Jul 1;14(7)
Disease models & mechanisms 2021 Jul 1;14(7)
Identification of Required Host Factors for SARS-CoV-2 Infection in Human Cells.
Daniloski Z, Jordan TX, Wessels HH, Hoagland DA, Kasela S, Legut M, Maniatis S, Mimitou EP, Lu L, Geller E, Danziger O, Rosenberg BR, Phatnani H, Smibert P, Lappalainen T, tenOever BR, Sanjana NE
Cell 2021 Jan 7;184(1):92-105.e16
Cell 2021 Jan 7;184(1):92-105.e16
Ajugol enhances TFEB-mediated lysosome biogenesis and lipophagy to alleviate non-alcoholic fatty liver disease.
Zhang H, Lu J, Liu H, Guan L, Xu S, Wang Z, Qiu Y, Liu H, Peng L, Men X
Pharmacological research 2021 Dec;174:105964
Pharmacological research 2021 Dec;174:105964
The Ncoa7 locus regulates V-ATPase formation and function, neurodevelopment and behaviour.
Castroflorio E, den Hoed J, Svistunova D, Finelli MJ, Cebrian-Serrano A, Corrochano S, Bassett AR, Davies B, Oliver PL
Cellular and molecular life sciences : CMLS 2021 Apr;78(7):3503-3524
Cellular and molecular life sciences : CMLS 2021 Apr;78(7):3503-3524
DDRGK1, a crucial player of ufmylation system, is indispensable for autophagic degradation by regulating lysosomal function.
Cao Y, Li R, Shen M, Li C, Zou Y, Jiang Q, Liu S, Lu C, Li H, Liu H, Cai Y
Cell death & disease 2021 Apr 20;12(5):416
Cell death & disease 2021 Apr 20;12(5):416
Butyrate-mediated autophagy inhibition limits cytosolic Salmonella Infantis replication in the colon of pigs treated with a mixture of Lactobacillus and Bacillus.
Chu B, Zhu Y, Su J, Xia B, Zou Y, Nie J, Zhang W, Wang J
Veterinary research 2020 Aug 5;51(1):99
Veterinary research 2020 Aug 5;51(1):99
Caspase-8 Induces Lysosome-Associated Cell Death in Cancer Cells.
Zhong B, Liu M, Bai C, Ruan Y, Wang Y, Qiu L, Hong Y, Wang X, Li L, Li B
Molecular therapy : the journal of the American Society of Gene Therapy 2020 Apr 8;28(4):1078-1091
Molecular therapy : the journal of the American Society of Gene Therapy 2020 Apr 8;28(4):1078-1091
Spatiotemporal Changes of the Phagosomal Proteome in Dendritic Cells in Response to LPS Stimulation.
Pauwels AM, Härtlova A, Peltier J, Driege Y, Baudelet G, Brodin P, Trost M, Beyaert R, Hoffmann E
Molecular & cellular proteomics : MCP 2019 May;18(5):909-922
Molecular & cellular proteomics : MCP 2019 May;18(5):909-922
A pH-sensitive luminal His-cluster promotes interaction of PAM with V-ATPase along the secretory and endocytic pathways of peptidergic cells.
Rao VK, Zavala G, Deb Roy A, Mains RE, Eipper BA
Journal of cellular physiology 2019 Jun;234(6):8683-8697
Journal of cellular physiology 2019 Jun;234(6):8683-8697
The interferon-inducible isoform of NCOA7 inhibits endosome-mediated viral entry.
Doyle T, Moncorgé O, Bonaventure B, Pollpeter D, Lussignol M, Tauziet M, Apolonia L, Catanese MT, Goujon C, Malim MH
Nature microbiology 2018 Dec;3(12):1369-1376
Nature microbiology 2018 Dec;3(12):1369-1376
Mycobacterium tuberculosis Controls Phagosomal Acidification by Targeting CISH-Mediated Signaling.
Queval CJ, Song OR, Carralot JP, Saliou JM, Bongiovanni A, Deloison G, Deboosère N, Jouny S, Iantomasi R, Delorme V, Debrie AS, Park SJ, Gouveia JC, Tomavo S, Brosch R, Yoshimura A, Yeramian E, Brodin P
Cell reports 2017 Sep 26;20(13):3188-3198
Cell reports 2017 Sep 26;20(13):3188-3198
Sphingomyelin-induced inhibition of the plasma membrane calcium ATPase causes neurodegeneration in type A Niemann-Pick disease.
Pérez-Cañamás A, Benvegnù S, Rueda CB, Rábano A, Satrústegui J, Ledesma MD
Molecular psychiatry 2017 May;22(5):711-723
Molecular psychiatry 2017 May;22(5):711-723
Proton pump inhibitors protect mice from acute systemic inflammation and induce long-term cross-tolerance.
Balza E, Piccioli P, Carta S, Lavieri R, Gattorno M, Semino C, Castellani P, Rubartelli A
Cell death & disease 2016 Jul 21;7(7):e2304
Cell death & disease 2016 Jul 21;7(7):e2304
Heme drives hemolysis-induced susceptibility to infection via disruption of phagocyte functions.
Martins R, Maier J, Gorki AD, Huber KV, Sharif O, Starkl P, Saluzzo S, Quattrone F, Gawish R, Lakovits K, Aichinger MC, Radic-Sarikas B, Lardeau CH, Hladik A, Korosec A, Brown M, Vaahtomeri K, Duggan M, Kerjaschki D, Esterbauer H, Colinge J, Eisenbarth SC, Decker T, Bennett KL, Kubicek S, Sixt M, Superti-Furga G, Knapp S
Nature immunology 2016 Dec;17(12):1361-1372
Nature immunology 2016 Dec;17(12):1361-1372
The V-ATPase accessory protein Atp6ap1b mediates dorsal forerunner cell proliferation and left-right asymmetry in zebrafish.
Gokey JJ, Dasgupta A, Amack JD
Developmental biology 2015 Nov 1;407(1):115-30
Developmental biology 2015 Nov 1;407(1):115-30
Rabconnectin3α promotes stable activity of the H+ pump on synaptic vesicles in hair cells.
Einhorn Z, Trapani JG, Liu Q, Nicolson T
The Journal of neuroscience : the official journal of the Society for Neuroscience 2012 Aug 8;32(32):11144-56
The Journal of neuroscience : the official journal of the Society for Neuroscience 2012 Aug 8;32(32):11144-56
No comments: Submit comment
Supportive validation
- Submitted by
- Proteintech Group (provider)
- Main image

- Experimental details
- mouse kidney tissue were subjected to SDS PAGE followed by western blot with 17115-1-AP(ATP6V1A antibody) at dilution of 1:500
- Sample type
- tissue
Supportive validation
- Submitted by
- Proteintech Group (provider)
- Main image

- Experimental details
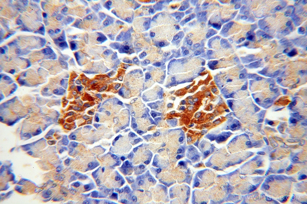
- Immunohistochemical of paraffin-embedded human pancreas using 17115-1-AP(ATP6V1A antibody) at dilution of 1:100 (under 10x lens)
- Sample type
- tissue
- Submitted by
- Proteintech Group (provider)
- Main image

- Experimental details
- The ATP6V1A antibody from Proteintech is a rabbit polyclonal antibody to a recombinant protein of human ATP6V1A. This antibody recognizes human, mouse, rat antigen. The ATP6V1A antibody has been validated for the following applications: ELISA, WB, IHC analysis.