Antibody data
- Antibody Data
- Antigen structure
- References [0]
- Comments [0]
- Validations
- Western blot [1]
- ELISA [1]
- Immunohistochemistry [1]
Submit
Validation data
Reference
Comment
Report error
- Product number
- AM31693PU-N - Provider product page

- Provider
- OriGene
- Product name
- ATP6V1A mouse monoclonal antibody, clone 4F5, Purified
- Antibody type
- Monoclonal
- Description
- ATP6V1A mouse monoclonal antibody, clone 4F5, Purified
- Host
- Mouse
- Conjugate
- Unconjugated
- Epitope
- ATP6V1A
- Isotype
- IgG
- Antibody clone number
- 4F5
- Vial size
- 50 µg
- Concentration
- 0.5 mg/ml
No comments: Submit comment
Supportive validation
- Submitted by
- OriGene (provider)
- Main image

- Experimental details
- Western Blot analysis of ATP6V1A expression in human kidney using ATP6V1A monoclonal antibody (clone 4F5)
- Validation comment
- WB
Supportive validation
- Submitted by
- OriGene (provider)
- Main image

- Experimental details
- Detection limit for recombinant GST tagged ATP6V1A is 0.03 ng/ml as a capture antibody
- Validation comment
- ELISA
Supportive validation
- Submitted by
- OriGene (provider)
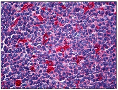
- Main image

- Experimental details
- Human Tonsil: Formalin-Fixed, Paraffin-Embedded (FFPE)
- Validation comment
- IHC