AP55553PU-N
antibody from Acris Antibodies GmbH
Targeting: DPAGT1
ALG7, CDG-Ij, D11S366, DGPT, DPAGT, DPAGT2, GPT
Antibody data
- Antibody Data
- Antigen structure
- References [0]
- Comments [0]
- Validations
- Western blot [1]
- Immunohistochemistry [1]
Submit
Validation data
Reference
Comment
Report error
- Product number
- AP55553PU-N - Provider product page

- Provider
- Acris Antibodies GmbH
- Product name
- anti DPAGT1 (N-term)
- Antibody type
- Polyclonal
- Antigen
- 17 amino acid synthetic peptide near the amino terminus of Human DPAGT1 (AP55553CP-N)
- Reactivity
- Human, Mouse
- Host
- Rabbit
- Isotype
- IgG
- Vial size
- 0.1 mg
- Concentration
- 1.0 mg/ml
No comments: Submit comment
Supportive validation
- Submitted by
- Acris Antibodies GmbH (provider)
- Main image

- Experimental details
- Western blot analysis of DPAGT1 in mouse kidney tissue lysate with DPAGT1 antibody at 1 μg/mL in (A) the absence and (B) the presence of blocking peptide.
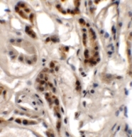
Supportive validation
- Submitted by
- Acris Antibodies GmbH (provider)
- Main image

- Experimental details
- Immunohistochemistry of DPAGT1 in human kidney tissue with DPAGT1 antibody at 2.5 ug/mL.