Antibody data
- Antibody Data
- Antigen structure
- References [0]
- Comments [0]
- Validations
- Immunohistochemistry [1]
Submit
Validation data
Reference
Comment
Report error
- Product number
- LS-C118757 - Provider product page

- Provider
- LSBio
- Product name
- SERPIND1 / Heparin Cofactor 2 Antibody (aa41-90) LS-C118757
- Antibody type
- Polyclonal
- Description
- Immunoaffinity purified
- Reactivity
- Human, Mouse, Rat
- Host
- Rabbit
- Isotype
- IgG
- Storage
- Store at -20°C for up to 1 year.
No comments: Submit comment
Supportive validation
- Submitted by
- LSBio (provider)
- Enhanced method
- Genetic validation
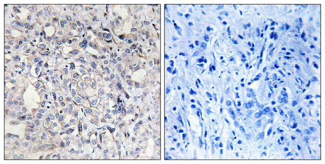
- Main image

- Experimental details
- Immunohistochemistry analysis of paraffin-embedded human liver carcinoma tissue, using Heparin Cofactor II Antibody. The picture on the right is blocked with the synthesized peptide.