H00154214-M01
antibody from Novus Biologicals
Targeting: RNF217
C6orf172, dJ84N20.1, IBRDC1, MGC26996
Antibody data
- Antibody Data
- Antigen structure
- References [0]
- Comments [0]
- Validations
- Western blot [1]
- Immunocytochemistry [1]
Submit
Validation data
Reference
Comment
Report error
- Product number
- H00154214-M01 - Provider product page

- Provider
- Novus Biologicals
- Proper citation
- Novus Cat#H00154214-M01, RRID:AB_2180822
- Product name
- Mouse Monoclonal IBRDC1 Antibody
- Antibody type
- Monoclonal
- Description
- IgG purified. IBRDC1 - IBR domain containing 1
- Reactivity
- Human
- Host
- Mouse
- Isotype
- IgG
- Vial size
- 0.1 mg
- Storage
- Aliquot and store at -20C or -80C. Avoid freeze-thaw cycles.
No comments: Submit comment
Supportive validation
- Submitted by
- Novus Biologicals (provider)
- Main image

- Experimental details
- Western Blot: IBRDC1 Antibody (4B1) [H00154214-M01] - IBRDC1 monoclonal antibody (M01), clone 4B1 Analysis of IBRDC1 expression in HepG2.
Supportive validation
- Submitted by
- Novus Biologicals (provider)
- Main image

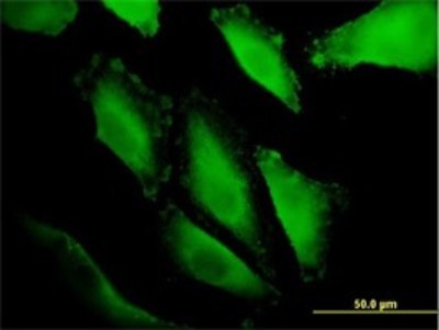
- Experimental details
- Immunocytochemistry/Immunofluorescence: IBRDC1 Antibody (4B1) [H00154214-M01] - Analysis of monoclonal antibody to IBRDC1 on HepG2 cell. Antibody concentration 10 ug/ml.