Antibody data
- Antibody Data
- Antigen structure
- References [1]
- Comments [0]
- Validations
- Immunohistochemistry [1]
Submit
Validation data
Reference
Comment
Report error
- Product number
- A01548 - Provider product page

- Provider
- Boster Biological Technology
- Product name
- Anti-GAA Antibody Picoband™
- Antibody type
- Polyclonal
- Description
- Rabbit IgG polyclonal antibody for Lysosomal alpha-glucosidase(GAA) detection. Tested with WB, IHC-P in Human.
- Reactivity
- Human
- Host
- Rabbit
- Vial size
- 100μg/vial
- Concentration
- Add 0.2ml of distilled water will yield a concentration of 500ug/ml.
- Storage
- At -20°C for one year. After reconstitution, at 4°C for one month. It can also be aliquoted and stored frozen at -20°C for a longer time. Avoid repeated freezing and thawing.
- Handling
- Add 0.2ml of distilled water will yield a concentration of 500ug/ml.
Submitted references Muscle-directed gene therapy corrects Pompe disease and uncovers species-specific GAA immunogenicity.
Eggers M, Vannoy CH, Huang J, Purushothaman P, Brassard J, Fonck C, Meng H, Prom MJ, Lawlor MW, Cunningham J, Sadhu C, Mavilio F
EMBO molecular medicine 2022 Jan 11;14(1):e13968
EMBO molecular medicine 2022 Jan 11;14(1):e13968
No comments: Submit comment
Supportive validation
- Submitted by
- Boster Biological Technology (provider)
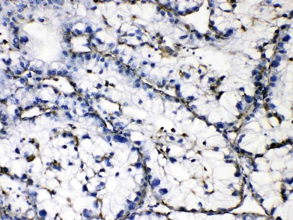
- Main image

- Experimental details
- GAA was detected in paraffin-embedded sections of human liver cancer tissues using rabbit anti- GAA Antigen Affinity purified polyclonal antibody (Catalog # A01548) at 1 μg/mL. The immunohistochemical section was developed using SABC method (Catalog # SA1022).
- Additional image
