Antibody data
- Antibody Data
- Antigen structure
- References [1]
- Comments [0]
- Validations
- Immunohistochemistry [1]
Submit
Validation data
Reference
Comment
Report error
- Product number
- NBP1-87899 - Provider product page

- Provider
- Novus Biologicals
- Proper citation
- Novus Cat#NBP1-87899, RRID:AB_11019191
- Product name
- Rabbit Polyclonal MAST205 Antibody
- Antibody type
- Polyclonal
- Description
- Immunogen affinity purified. Specificity of human MAST205 antibody verified on a Protein Array containing target protein plus 383 other non-specific proteins.
- Reactivity
- Human
- Host
- Rabbit
- Isotype
- IgG
- Vial size
- 0.1 ml
- Storage
- Store at 4C short term. Aliquot and store at -20C long term. Avoid freeze-thaw cycles.
Submitted references A functional yeast survival screen of tumor-derived cDNA libraries designed to identify anti-apoptotic mammalian oncogenes.
Eißmann M, Schwamb B, Melzer IM, Moser J, Siele D, Köhl U, Rieker RJ, Wachter DL, Agaimy A, Herpel E, Baumgarten P, Mittelbronn M, Rakel S, Kögel D, Böhm S, Gutschner T, Diederichs S, Zörnig M
PloS one 2013;8(5):e64873
PloS one 2013;8(5):e64873
No comments: Submit comment
Supportive validation
- Submitted by
- Novus Biologicals (provider)
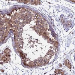
- Main image

- Experimental details
- Immunohistochemistry: MAST205 Antibody [NBP1-87899] - Staining of human testis shows moderate cytoplasmic positivity in cells in seminiferus ducts.