R32051
antibody from NSJ Bioreagents
Targeting: PRDX5
ACR1, AOEB166, B166, MGC117264, MGC142283, MGC142285, PLP, PMP20, PRDX6, PRXV, SBBI10
Antibody data
- Antibody Data
- Antigen structure
- References [0]
- Comments [0]
- Validations
- Western blot [1]
- Immunocytochemistry [1]
- Immunohistochemistry [3]
Submit
Validation data
Reference
Comment
Report error
- Product number
- R32051 - Provider product page

- Provider
- NSJ Bioreagents
- Product name
- Peroxiredoxin 5 Antibody
- Antibody type
- Polyclonal
- Description
- This highly specific Peroxiredoxin 5 antibody is suitable for use in Western blot/Immunohistochemistry/Immunocytochemistry/Immunofluorescence/Flow cytometry applications with human, mouse and rat samples.
- Reactivity
- Human, Mouse, Rat
- Host
- Rabbit
- Conjugate
- Unconjugated
- Vial size
- 100 ug
- Concentration
- 0.5mg/ml if reconstituted with 0.2ml sterile DI water
- Storage
- After reconstitution, the Peroxiredoxin 5 antibody can be stored for up to one month at 4oC. For long-term, aliquot and store at -20oC. Avoid repeated freezing and thawing.
No comments: Submit comment
Supportive validation
- Submitted by
- NSJ Bioreagents (provider)
- Main image

- Experimental details
- Western blot testing of 1) human A549, 2) rat brain and 3) mouse brain lysate with Peroxiredoxin 5 antibody. Expected/observed molecular weight ~22 kDa.
Supportive validation
- Submitted by
- NSJ Bioreagents (provider)
- Main image

- Experimental details
- ICC testing of human SMCC cells with Peroxiredoxin 5 antibody.
Supportive validation
- Submitted by
- NSJ Bioreagents (provider)
- Main image

- Experimental details
- IHC testing of FFPE human lung cancer with Peroxiredoxin 5 antibody. HIER: Boil the paraffin sections in pH 6, 10mM citrate buffer for 20 minutes and allow to cool prior to staining.
- Submitted by
- NSJ Bioreagents (provider)
- Main image

- Experimental details
- IHC testing of FFPE mouse intestine with Peroxiredoxin 5 antibody. HIER: Boil the paraffin sections in pH 6, 10mM citrate buffer for 20 minutes and allow to cool prior to staining.
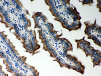
- Submitted by
- NSJ Bioreagents (provider)
- Main image

- Experimental details
- IHC testing of FFPE rat intestine with Peroxiredoxin 5 antibody. HIER: Boil the paraffin sections in pH 6, 10mM citrate buffer for 20 minutes and allow to cool prior to staining.