Antibody data
- Antibody Data
- Antigen structure
- References [0]
- Comments [0]
- Validations
- Western blot [1]
- Immunohistochemistry [2]
Submit
Validation data
Reference
Comment
Report error
- Product number
- GTX81562 - Provider product page

- Provider
- GeneTex
- Proper citation
- GeneTex Cat#GTX81562, RRID:AB_11172301
- Product name
- NP1 antibody, Internal
- Antibody type
- Polyclonal
- Reactivity
- Human
- Host
- Rabbit
No comments: Submit comment
Supportive validation
- Submitted by
- GeneTex (provider)
- Main image

- Experimental details
- Western blot analysis of anti-NP1(Nptx1) Antibody (Center) (GTX81562) in Jurkat cell line lysates (35ug/lane). NP1(arrow) was detected using the purified Pab.
- Validation comment
- WB
Supportive validation
- Submitted by
- GeneTex (provider)
- Main image

- Experimental details
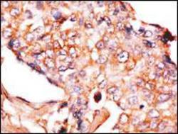
- Formalin-fixed and paraffin-embedded human breast carcinoma reacted with anti-NP1(Nptx1) Antibody (Center)(GTX81562), which was peroxidase-conjμgated to the secondary antibody, followed by DAB staining. This data demonstrates the use of this antibody for immunohistochemistry; clinical relevance has not been evaluated.
- Submitted by
- GeneTex (provider)
- Main image

- Experimental details
- Formalin-fixed and paraffin-embedded human brain tissue reacted with NP1(Nptx1) Antibody (Center) (GTX81562), which was peroxidase-conjμgated to the secondary antibody, followed by DAB staining. This data demonstrates the use of this antibody for immunohistochemistry; clinical relevance has not been evaluated.