Antibody data
- Antibody Data
- Antigen structure
- References [0]
- Comments [0]
- Validations
- Immunohistochemistry [3]
Submit
Validation data
Reference
Comment
Report error
- Product number
- LS-C120114 - Provider product page

- Provider
- LSBio
- Product name
- NDUFA3 / B9 Antibody (aa34-83) LS-C120114
- Antibody type
- Polyclonal
- Description
- Immunoaffinity purified
- Reactivity
- Human, Mouse
- Host
- Rabbit
- Isotype
- IgG
- Storage
- Store at -20°C for up to 1 year.
No comments: Submit comment
Enhanced validation
- Submitted by
- LSBio (provider)
- Enhanced method
- Genetic validation
- Main image

- Experimental details
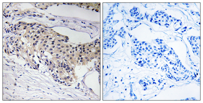
- Immunohistochemistry analysis of paraffin-embedded human breast carcinoma tissue, using NDUFA3 Antibody. The picture on the right is blocked with the synthesized peptide.
- Submitted by
- LSBio (provider)
- Enhanced method
- Genetic validation
- Main image

- Experimental details
- Immunohistochemistry analysis of paraffin-embedded human breast carcinoma tissue, using NDUFA3 Antibody. The picture on the right is blocked with the synthesized peptide.
- Submitted by
- LSBio (provider)
- Main image

- Experimental details
- Immunohistochemistry analysis of paraffin-embedded human breast carcinoma tissue, using NDUFA3 Antibody. The picture on the right is blocked with the synthesized peptide.