Antibody data
- Antibody Data
- Antigen structure
- References [0]
- Comments [0]
- Validations
- Western blot [1]
- Immunohistochemistry [3]
Submit
Validation data
Reference
Comment
Report error
- Product number
- GTX111026 - Provider product page

- Provider
- GeneTex
- Proper citation
- GeneTex Cat#GTX111026, RRID:AB_11167579
- Product name
- NDUFB4 antibody
- Antibody type
- Polyclonal
- Reactivity
- Human, Rat
- Host
- Rabbit
No comments: Submit comment
Supportive validation
- Submitted by
- GeneTex (provider)
- Main image

- Experimental details
- Sample (30 ug of whole cell lysate) A: HepG2 15% SDS PAGE GTX111026 diluted at 1:1000
Supportive validation
- Submitted by
- GeneTex (provider)
- Main image

- Experimental details
- Immunohistochemical analysis of paraffin-embedded Cal27 xenograft, using NDUFB4(GTX111026) antibody at 1:500 dilution.
- Submitted by
- GeneTex (provider)
- Main image

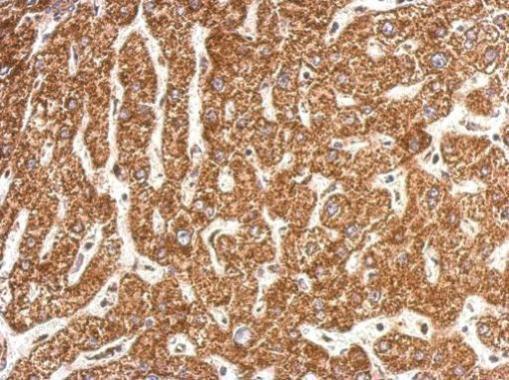
- Experimental details
- NDUFB4 antibody detects NDUFB4 protein at cytosol on human hepatoma by immunohistochemical analysis. Sample: Paraffin-embedded hepatoma. NDUFB4 antibody (GTX111026) dilution: 1:500.
- Submitted by
- GeneTex (provider)
- Main image

- Experimental details
- Immunohistochemical analysis of paraffin-embedded RT2 xenograft, using NDUFB4(GTX111026) antibody at 1:500 dilution.