Antibody data
- Antibody Data
- Antigen structure
- References [0]
- Comments [0]
- Validations
- Immunohistochemistry [2]
Submit
Validation data
Reference
Comment
Report error
- Product number
- LS-C289566 - Provider product page

- Provider
- LSBio
- Product name
- L3MBTL3 Antibody (aa550-600) LS-C289566
- Antibody type
- Polyclonal
- Description
- Affinity purified
- Reactivity
- Human
- Host
- Rabbit
- Isotype
- IgG
- Storage
- Store at 2-8°C for up to one year.
No comments: Submit comment
Supportive validation
- Submitted by
- LSBio (provider)
- Enhanced method
- Genetic validation
- Main image

- Experimental details
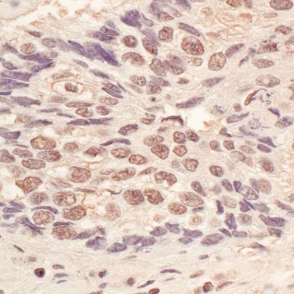
- Detection of Human L3MBTL3 by Immunohistochemistry. Sample: FFPE section of human lung carcinoma. Antibody: Affinity purified rabbit anti-L3MBTL3 used at a dilution of 1:1000 (1 ug/ml). Detection: Vector Laboratories ImmPACT NovaRED Peroxidase Substrate.
- Submitted by
- LSBio (provider)
- Enhanced method
- Genetic validation
- Main image

- Experimental details
- Detection of Human L3MBTL3 by Immunohistochemistry. Sample: FFPE section of human lung carcinoma. Antibody: Affinity purified rabbit anti-L3MBTL3 used at a dilution of 1:1000 (1 ug/ml). Detection: Vector Laboratories ImmPACT NovaRED Peroxidase Substrate.