Antibody data
- Antibody Data
- Antigen structure
- References [0]
- Comments [0]
- Validations
- Western blot [1]
- Immunohistochemistry [2]
Submit
Validation data
Reference
Comment
Report error
- Product number
- LS-C175986 - Provider product page

- Provider
- LSBio
- Product name
- CCNE1 / Cyclin E1 Antibody (Leu389) LS-C175986
- Antibody type
- Polyclonal
- Description
- Immunoaffinity purified
- Reactivity
- Human
- Host
- Rabbit
- Storage
- Short term: store at 4°C. Long term: aliquot and store at -20°C. Avoid freeze-thaw cycles.
No comments: Submit comment
Enhanced validation
- Submitted by
- LSBio (provider)
- Enhanced method
- Genetic validation
- Main image

- Experimental details
- Western blot of Cyclin E1 (L389) pAb in extracts from HeLa cell treated with Paclitaxel 1u 60'.
Enhanced validation
- Submitted by
- LSBio (provider)
- Enhanced method
- Genetic validation
- Main image

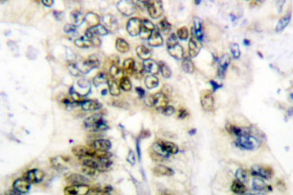
- Experimental details
- IHC of Cyclin E1 (L389) pAb in paraffin-embedded human colon carcinoma tissue.
- Submitted by
- LSBio (provider)
- Main image

- Experimental details
- IHC of Cyclin E1 (L389) pAb in paraffin-embedded human colon carcinoma tissue.