Antibody data
- Antibody Data
- Antigen structure
- References [0]
- Comments [0]
- Validations
- Immunohistochemistry [1]
Submit
Validation data
Reference
Comment
Report error
- Product number
- MAB6810 - Provider product page

- Provider
- R&D Systems
- Product name
- Human Cyclin E1 Antibody
- Antibody type
- Monoclonal
- Description
- Protein A or G purified from hybridoma culture supernatant. Detects human Cyclin E1 in direct ELISAs. In direct ELISAs, approximately 10% cross-reactivity with recombinant mouse Cyclin E1 is observed.
- Reactivity
- Human
- Host
- Mouse
- Conjugate
- Unconjugated
- Antigen sequence
P24864- Isotype
- IgG
- Antibody clone number
- 713573
- Vial size
- 100 ug
- Concentration
- LYOPH
- Storage
- Use a manual defrost freezer and avoid repeated freeze-thaw cycles. 12 months from date of receipt, -20 to -70 °C as supplied. 1 month, 2 to 8 °C under sterile conditions after reconstitution. 6 months, -20 to -70 °C under sterile conditions after reconstitution.
No comments: Submit comment
Supportive validation
- Submitted by
- R&D Systems (provider)
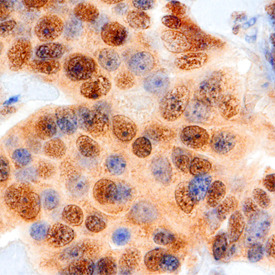
- Main image

- Experimental details
- Cyclin E1 in Human Breast. Cyclin E1 was detected in immersion fixed paraffin-embedded sections of human breast using Mouse Anti-Human Cyclin E1 Monoclonal Antibody (Catalog # MAB6810) at 15 µg/mL overnight at 4 °C. Tissue was stained using the Anti-Mouse HRP-DAB Cell & Tissue Staining Kit (brown; Catalog # CTS002) and counterstained with hematoxylin (blue). Specific staining was localized to epithelial cell nuclei. View our protocol for Chromogenic IHC Staining of Paraffin-embedded Tissue Sections.