Antibody data
- Antibody Data
- Antigen structure
- References [0]
- Comments [0]
- Validations
- Immunohistochemistry [1]
Submit
Validation data
Reference
Comment
Report error
- Product number
- PA5-33048 - Provider product page

- Provider
- Invitrogen Antibodies
- Product name
- SLC5A9 Polyclonal Antibody
- Antibody type
- Polyclonal
- Antigen
- Synthetic peptide
- Description
- Percent identity with other species by BLAST analysis: Human, Gorilla, Monkey, Marmoset (100%); Gibbon, Mouse, Bat, Bovine, Hamster, Elephant (93%); Turkey, Chicken (80%). For IHC(P), use heat induced antigen retrieval in pH 6.0 citrate buffer. After incubation with the primary antibody, slides were incubated with biotinylated secondary antibody, followed by alkaline phosphatase-streptavidin and chromogen.
- Reactivity
- Human
- Host
- Rabbit
- Isotype
- IgG
- Vial size
- 50 μg
- Concentration
- 1 mg/mL
- Storage
- Store at 4°C short term. For long term storage, store at -20°C, avoiding freeze/thaw cycles.
No comments: Submit comment
Supportive validation
- Submitted by
- Invitrogen Antibodies (provider)
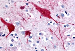
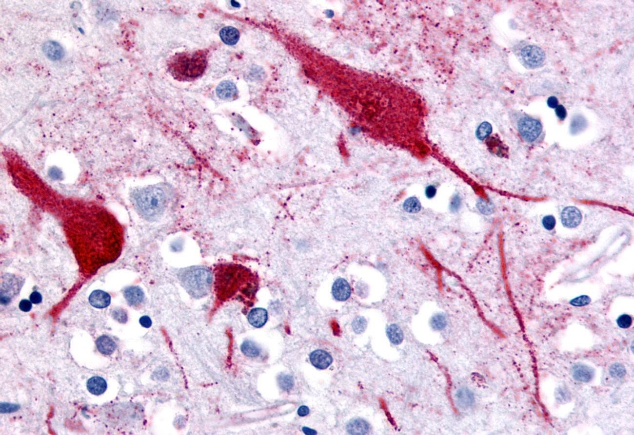
- Main image

- Experimental details
- Immunohistochemistry analysis of SLC5A9 in human brain, cortex. Samples were incubated with SLC5A9 polyclonal antibody (Product # PA5-33048). Formalin-fixed, paraffin-embedded tissue after heat-induced antigen retrieval.