Antibody data
- Antibody Data
- Antigen structure
- References [0]
- Comments [0]
- Validations
- Western blot [1]
- Immunohistochemistry [1]
Submit
Validation data
Reference
Comment
Report error
- Product number
- LS-C181345 - Provider product page

- Provider
- LSBio
- Product name
- ENPP1 Antibody (DY650) LS-C181345
- Antibody type
- Polyclonal
- Description
- Immunoaffinity purified
- Reactivity
- Human
- Host
- Goat
- Conjugate
- Red dye
- Storage
- Store at 4°C in the dark.
No comments: Submit comment
Enhanced validation
- Submitted by
- LSBio (provider)
- Enhanced method
- Genetic validation
- Main image

- Experimental details
- Western Blot: ENPP-1 Antibody - Western blot analysis of ENPP-1 in HepG2 cell lysate at 2.0 ug/ml. This image was taken for the unconjugated form of this product. Other forms have not been tested.
Supportive validation
- Submitted by
- LSBio (provider)
- Enhanced method
- Genetic validation
- Main image

- Experimental details
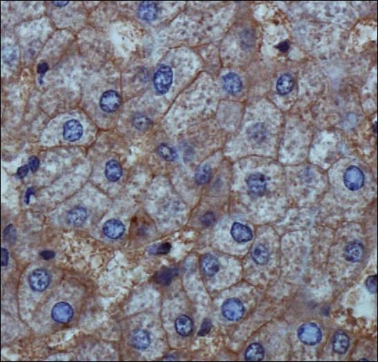
- Immunohistochemistry: ENPP1 Antibody - ENPP1 antibody was tested in human liver using DAB with hematoxylin counterstain. This image was taken for the unconjugated form of this product. Other forms have not been tested.