Antibody data
- Antibody Data
- Antigen structure
- References [1]
- Comments [0]
- Validations
- Western blot [1]
- Immunohistochemistry [1]
Submit
Validation data
Reference
Comment
Report error
- Product number
- PAB12049 - Provider product page

- Provider
- Abnova Corporation
- Proper citation
- Abnova Corporation Cat#PAB12049, RRID:AB_1713133
- Product name
- ROBO4 polyclonal antibody
- Antibody type
- Polyclonal
- Description
- Rabbit polyclonal antibody raised against synthetic peptide of ROBO4.
- Storage
- Store at 4°C. Do not freeze.
Submitted references Clinical and prognostic implications of Roundabout 4 (robo4) in adult patients with acute myeloid leukemia.
Chen YK, Hou HA, Tang JL, Jhuang JY, Lai YJ, Lee MC, Kuo YY, Chou WC, Liu CY, Lin CW, Chuang SS, Chen CY, Tseng MH, Huang CF, Chiang YC, Lee FY, Liu MC, Liu CW, Yao M, Huang SY, Ko BS, Hsu SC, Wu SJ, Tsay W, Chen YC, Tien HF
PloS one 2015;10(3):e0119831
PloS one 2015;10(3):e0119831
No comments: Submit comment
Supportive validation
- Submitted by
- Abnova Corporation (provider)
- Main image

- Experimental details
- Western blot analysis of ROBO4 in HUVEC cell lysate with ROBO4 polyclonal antibody (Cat # PAB12049).
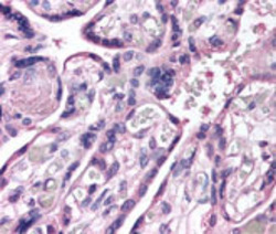
Supportive validation
- Submitted by
- Abnova Corporation (provider)
- Main image

- Experimental details
- Immunohistochemical staining of ROBO4 on formalin fixed, paraffin embedded human endothelium and trophoblasts of the placenta with ROBO4 polyclonal antibody (Cat # PAB12049).
- Validation comment
- Immunohistochemistry (Formalin/PFA-fixed paraffin-embedded sections)