Antibody data
- Antibody Data
- Antigen structure
- References [0]
- Comments [0]
- Validations
- Western blot [2]
- Immunohistochemistry [5]
Submit
Validation data
Reference
Comment
Report error
- Product number
- NBP1-85548 - Provider product page

- Provider
- Novus Biologicals
- Proper citation
- Novus Cat#NBP1-85548, RRID:AB_11042949
- Product name
- Rabbit Polyclonal EYA4 Antibody
- Antibody type
- Polyclonal
- Description
- Immunogen affinity purified. Specificity of human EYA4 antibody verified on a Protein Array containing target protein plus 383 other non-specific proteins.
- Reactivity
- Human
- Host
- Rabbit
- Isotype
- IgG
- Vial size
- 0.1 ml
- Storage
- Store at 4C short term. Aliquot and store at -20C long term. Avoid freeze-thaw cycles.
No comments: Submit comment
Supportive validation
- Submitted by
- Novus Biologicals (provider)
- Main image

- Experimental details
- Western Blot: EYA4 Antibody [NBP1-85548] - Lane 1: Marker [kDa] 229, 112, 84, 48, 32, 27, 17. Lane 2: Human cell line RT-4. Lane 3: Human cell line U-251MG sp. Lane 4: Human plasma (IgG/HSA depleted). Lane 5: Human liver tissue
- Submitted by
- Novus Biologicals (provider)
- Main image

- Experimental details
- Western Blot: EYA4 Antibody [NBP1-85548] - Analysis in human fallopian tube tissue.
Supportive validation
- Submitted by
- Novus Biologicals (provider)
- Main image

- Experimental details
- Immunohistochemistry-Paraffin: EYA4 Antibody [NBP1-85548] - Staining of human stomach shows strong cytoplasmic and nuclear positivity in glandular cells.
- Submitted by
- Novus Biologicals (provider)
- Main image

- Experimental details
- Immunohistochemistry-Paraffin: EYA4 Antibody [NBP1-85548] - Staining of human prostate shows moderate nuclear positivity in glandular cells.
- Submitted by
- Novus Biologicals (provider)
- Main image

- Experimental details
- Immunohistochemistry-Paraffin: EYA4 Antibody [NBP1-85548] - Staining of human skeletal muscle shows strong nuclear positivity in myocytes.
- Submitted by
- Novus Biologicals (provider)
- Main image

- Experimental details
- Immunohistochemistry-Paraffin: EYA4 Antibody [NBP1-85548] - Staining of human fallopian tube shows strong nuclear positivity in glandular cells.
- Submitted by
- Novus Biologicals (provider)
- Main image

- Experimental details
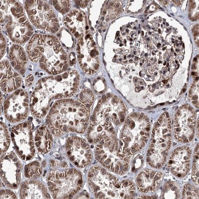
- Immunohistochemistry-Paraffin: EYA4 Antibody [NBP1-85548] - Staining of human kidney shows strong nuclear positivity in cells in tubules.