Antibody data
- Antibody Data
- Antigen structure
- References [0]
- Comments [0]
- Validations
- Immunohistochemistry [2]
- Flow cytometry [1]
Submit
Validation data
Reference
Comment
Report error
- Product number
- BS-2540R - Provider product page

- Provider
- Invitrogen Antibodies
- Product name
- GLUT12 Polyclonal Antibody
- Antibody type
- Polyclonal
- Antigen
- Synthetic peptide
- Reactivity
- Human, Mouse, Rat
- Host
- Rabbit
- Isotype
- IgG
- Vial size
- 100 µL
- Concentration
- 1 mg/mL
- Storage
- -20°C
No comments: Submit comment
Supportive validation
- Submitted by
- Invitrogen Antibodies (provider)
- Main image

- Experimental details
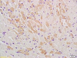
- Formalin-fixed and paraffin embedded mouse heart labeled with Rabbit Anti-GLUT12 Polyclonal Antibody, Unconjugated (bs-2540R) at 1:200, followed by conjugation to the secondary antibody and DAB staining.
- Submitted by
- Invitrogen Antibodies (provider)
- Main image

- Experimental details
- Paraformaldehyde-fixed, paraffin embedded rat stomach; Antigen retrieval by boiling in sodium citrate buffer (pH6.0) for 15min; Block endogenous peroxidase by 3% hydrogen peroxide for 20 minutes; Blocking buffer (normal goat serum) at 37°C for 30min; Antibody incubation with GLUT12 Polyclonal Antibody, Unconjugated (bs-2540R) at 1:400 overnight at 4°C, followed by a conjugated secondary for 20 minutes and DAB staining.
Supportive validation
- Submitted by
- Invitrogen Antibodies (provider)
- Main image

- Experimental details
- This image has been kindly submitted by Efi Tsouko from the University of Houston. Human LNCaP prostate cancer cells stained with Rabbit Anti-GLUT12 Polyclonal Antibody (bs-2540R)for 30 minutes at 4°C.Followed by secondary antibody AlexaFluor488 incubation for 30min 4°C in the dark.