Antibody data
- Antibody Data
- Antigen structure
- References [0]
- Comments [0]
- Validations
- Immunohistochemistry [7]
Submit
Validation data
Reference
Comment
Report error
- Product number
- PA5-58511 - Provider product page

- Provider
- Invitrogen Antibodies
- Product name
- Acrosomal Vesicle Protein Polyclonal Antibody
- Antibody type
- Polyclonal
- Antigen
- Recombinant protein fragment
- Description
- Immunogen sequence: TSSQPNELSG SIDHQTSVQQ LPGEFFSLEN PSDAEALYET SSGLNTLSEH GSSEHGSSKH TVAEHTSGEH AE Highest antigen sequence identity to the following orthologs: Mouse - 60%, Rat - 63%.
- Reactivity
- Human
- Host
- Rabbit
- Isotype
- IgG
- Vial size
- 100 μL
- Concentration
- 0.1 mg/mL
- Storage
- Store at 4°C short term. For long term storage, store at -20°C, avoiding freeze/thaw cycles.
No comments: Submit comment
Supportive validation
- Submitted by
- Invitrogen Antibodies (provider)
- Main image

- Experimental details
- Immunohistochemical staining of Acrosomal Vesicle Protein in human endometrium using Acrosomal Vesicle Protein Polyclonal Antibody (Product # PA5-58511) shows low expression as expected.
- Submitted by
- Invitrogen Antibodies (provider)
- Main image

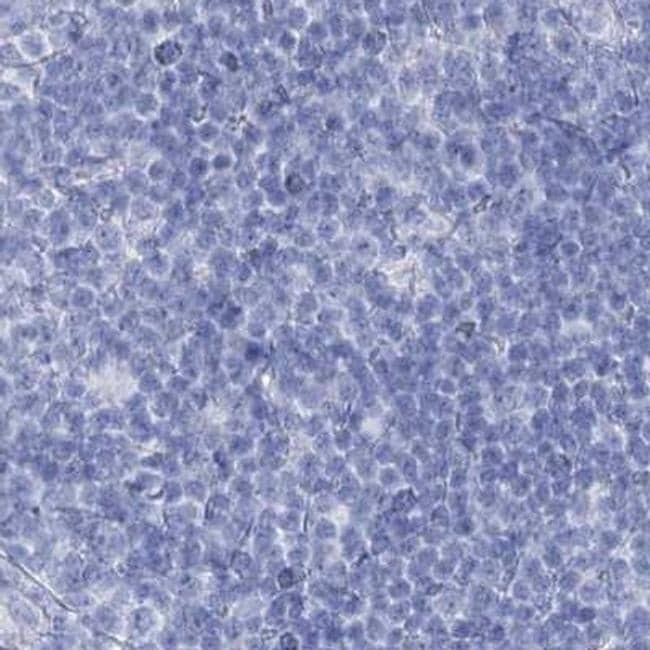
- Experimental details
- Immunohistochemical staining of Acrosomal Vesicle Protein in human testis using Acrosomal Vesicle Protein Polyclonal Antibody (Product # PA5-58511) shows high expression.
- Submitted by
- Invitrogen Antibodies (provider)
- Main image

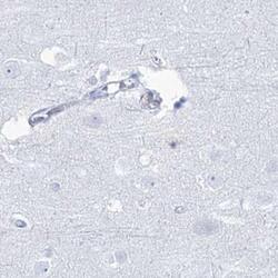
- Experimental details
- Immunohistochemical staining of Acrosomal Vesicle Protein in human cerebral cortex using Acrosomal Vesicle Protein Polyclonal Antibody (Product # PA5-58511).
- Submitted by
- Invitrogen Antibodies (provider)
- Main image

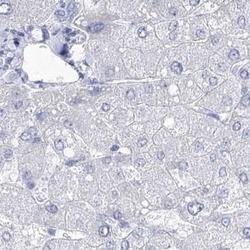
- Experimental details
- Immunohistochemical staining of Acrosomal Vesicle Protein in human liver using Acrosomal Vesicle Protein Polyclonal Antibody (Product # PA5-58511).
- Submitted by
- Invitrogen Antibodies (provider)
- Main image

- Experimental details
- Immunohistochemical staining of Acrosomal Vesicle Protein in human testis and endometrium tissues using Acrosomal Vesicle Protein Polyclonal Antibody (Product # PA5-58511). Corresponding ACRV1 RNA-seq data are presented for the same tissues.
- Submitted by
- Invitrogen Antibodies (provider)
- Main image

- Experimental details
- Immunohistochemical staining of Acrosomal Vesicle Protein in human cerebral cortex, liver, lymph node and testis using Acrosomal Vesicle Protein Polyclonal Antibody (Product # PA5-58511) (A) shows similar protein distribution across tissues to an independent Acrosomal Vesicle Protein Polyclonal Antibody (B).
- Submitted by
- Invitrogen Antibodies (provider)
- Main image

- Experimental details
- Immunohistochemical staining of Acrosomal Vesicle Protein in human lymph node using Acrosomal Vesicle Protein Polyclonal Antibody (Product # PA5-58511).